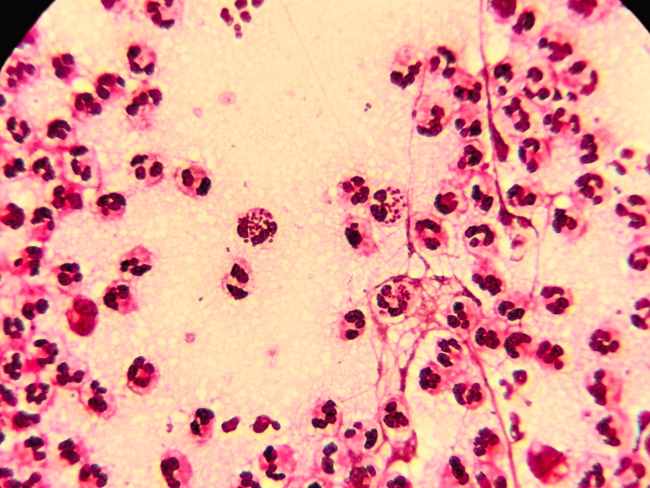
Neisseria gonorrhoeae adalah bakteri penyebab penyakit gonore atau kencing nanah. Neisseria gonorrhoeae dapat menular melalui hubungan seksual dan perlu diatasi dengan tepat untuk mencegah terjadinya komplikasi, seperti kemandulan.
Neisseria gonorrhoeae merupakan bakteri yang berbentuk seperti kacang merah. Bakteri ini dapat hidup di tempat yang hangat dan lembap pada tubuh manusia, misalnya mata, tenggorokan, rektum, uretra, dan saluran reproduksi wanita, seperti leher rahim, rahim, dan tuba falopi.

Karena Neisseria gonorrhoeae terutama ditularkan melalui hubungan badan, menerapkan seks yang aman dapat membantu menurunkan risiko terkena infeksi bakteri ini.
Neisseria gonorrhoeae dan Penularannya
Neisseria gonorrhoeae mudah untuk ditularkan melalui cairan tubuh penderitanya saat berhubungan seksual, baik secara vaginal, anal, atau oral. Bakteri ini juga bisa ditularkan jika seseorang yang memiliki luka di mulut berciuman dengan orang yang terinfeksi.
Ada beberapa faktor risiko yang membuat seseorang rentan terinfeksi bakteri Neisseria gonorrhoeae, yaitu:
- Berhubungan seksual tanpa pengaman
- Suka bergonta-ganti pasangan seksual
- Punya riwayat penyakit menular seksual atau pernah terkena gonore
- Menggosok mata menggunakan tangan yang sudah terkontaminasi bakteri Neisseria gonorrhoeae
Selain pada orang dewasa, infeksi Neisseria gonorrhoeae juga dapat terjadi pada bayi baru lahir. Penularan penyakit ini kepada bayi bisa terjadi saat proses persalinan melalui vagina ibu yang mengidap gonore.
Tanda Infeksi Neisseria gonorrhoeae
Infeksi awal dari Neisseria gonorrhoeae atau penyakit gonore sering kali tidak menimbulkan gejala. Gejala baru akan terlihat setelah 2–5 hari terinfeksi. Pada pria, infeksi Neisseria gonorrhoeae ditandai dengan:
- Sakit saat kencing
- Keluar cairan menyerupai nanah dari penis
- Bengkak pada kulup penis
- Nyeri atau pembengkakan pada salah satu testis
Sementara itu, gejala pada wanita ditandai dengan:
- Nyeri atau sensasi terbakar saat buang air kecil
- Keputihan berwarna hijau atau kuning dengan tekstur yang encer atau seperti air
- Nyeri atau sakit saat berhubungan seksual
- Nyeri pada perut bagian bawah
- Perdarahan di antara periode menstruasi
Karena bisa menginfeksi area tubuh lain yang lembap, Neisseria gonorrhoeae juga bisa menimbulkan gejala berupa:
- Anus gatal, keluar cairan nanah dari anus, adanya bercak darah berwarna merah terang pada tisu toilet, atau sulit buang air besar, jika infeksi terjadi pada anus
- Sakit mata, sensitif terhadap rangsangan cahaya, keluar cairan nanah dari mata, apabila infeksi terjadi pada mata
- Sakit tenggorokan dan pembengkakan kelenjar getah bening di leher ketika infeksi bakteri terjadi di tenggorokan
- Sendi terasa hangat, bengkak, atau nyeri, terutama saat Anda bergerak, jika infeksi bakteri Neisseria gonorrhoeae menyerang bagian sendi
Cara Mengatasi Infeksi Neisseria gonorrhoeae
Infeksi Neisseria gonorrhoeae harus mendapatkan penanganan segera agar sembuh dan tidak memicu komplikasi serius. Oleh karena itu, memeriksakan diri ke dokter dianjurkan ketika muncul gejala yang mengarah ke penyakit gonore.
Untuk mendeteksi kemungkinan adanya infeksi Neisseria gonorrhoeae, dokter akan menanyakan riwayat kesehatan, aktivitas seksual, pemeriksaan urine atau cairan dari area tubuh penderita yang diduga terinfeksi.
Jika hasil pemeriksaan menunjukkan adanya infeksi Neisseria gonorrhoeae, dokter akan memberikan pengobatan yang sesuai. Pengobatannya bisa berupa pemberian antibiotik ceftriaxone melalui jarum suntik.
Jika pemberian antibiotik melalui jarum suntik tidak memungkinkan, dokter akan meresepkan cefixime beserta obat antibiotik lain, seperti azithromycin. Obat antibiotik harus dikonsumsi sampai habis untuk menghindari resistensi antibiotik.
Selain itu, dokter juga akan menyarankan penderita untuk menghindari aktivitas seksual selama pengobatan berlangsung. Penderita juga dianjurkan untuk mengajak pasangannya melakukan tes gonore guna mengetahui kemungkinan penularan infeksi bakteri Neisseria gonorrhoeae.
Komplikasi Infeksi Neisseria gonorrhoeae
Penanganan segera infeksi Neisseria gonorrhoeae perlu dilakukan untuk mencegah terjadinya komplikasi. Berikut ini adalah beberapa komplikasi dari infeksi bakteri Neisseria gonorrhoeae:
Kemandulan
Pada wanita, infeksi Neisseria gonorrhoeae yang sudah menyebar ke rahim dan tuba falopi bisa memicu penyakit radang panggul. Ketika hal ini sudah terjadi, jaringan parut akan terbentuk di tuba falopi sehingga meningkatkan risiko terjadinya komplikasi kehamilan dan kemandulan.
Sementara pada pria, infeksi Neisseria gonorrhoeae bisa menyebabkan saluran epididimis meradang. Kondisi ini bisa meningkatkan risiko terjadinya kemandulan jika tidak segera diobati.
Infeksi ke organ tubuh lain
Jika tidak tertangani dengan baik, infeksi Neisseria gonorrhoeae dapat menyebar melalui aliran darah dan menginfeksi bagian tubuh lain, termasuk persendian. Ketika bakteri sudah menyebar, penderita bisa mengalami gejala berupa demam, ruam, luka pada kulit, nyeri sendi, sendi bengkak, dan sendi kaku.
Meningkatkan risiko terkena HIV/AIDS
Penderita penyakit gonore lebih rentan terkena HIV/ AIDS. Risiko ini tentunya meningkat jika ia masih menerapkan hubungan seks yang tidak aman.
Kebutaan
Pada bayi baru lahir, infeksi Neisseria gonorrhoeae yang ditularkan dari ibunya saat persalinan melalui vagina akan menyebabkan infeksi mata, bahkan kebutaan.
Cara Mencegah Infeksi Neisseria gonorrhoeae
Meskipun gampang menular, infeksi Neisseria gonorrhoeae bisa dicegah. Berikut ini adalah cara mencegahnya:
- Setia dengan 1 orang saja saja atau tidak bergonta-ganti pasangan.
- Gunakan kondom secara benar saat berhubungan seksual, termasuk saat melakukan seks anal atau seks oral.
- Lakukan pemeriksaan atau tes penyakit menular seksual sebelum melakukan hubungan seksual dengan pasangan baru.
- Lakukan pemeriksaan atau tes gonore secara rutin untuk diri sendiri
Karena infeksi Neisseria gonorrhoeae bisa menyebabkan komplikasi yang serius,maka hubungan seksual yang aman sebaiknya diterapkan agar terhindar dari penyakit infeksi ini.
Apabila langkah pencegahan sudah dilakukan tetapi Anda merasakan gejala dari infeksi Neisseria gonorrhoeae, jangan ragu atau malu untuk konsultasi kepada dokter. Konsultasi dan pengobatan untuk kondisi ini bahkan bisa Anda lakukan lewat Chat Bersama Dokter tanpa harus tatap muka. Selain itu, kerahasiaan medis Anda tetap terjamin.