Warna gusi yang tidak sehat sering kali menjadi tanda adanya masalah pada kesehatan mulut, bahkan bisa berkaitan dengan kondisi medis tertentu. Oleh karena itu, penting untuk memerhatikan setiap perubahan warna gusi sejak dini agar gangguan yang lebih serius dapat dicegah.
Gusi yang sehat umumnya berwarna merah muda, terasa kenyal, dan tidak mudah berdarah saat menyikat gigi. Namun, warna gusi dapat berubah menjadi lebih gelap, kemerahan, kebiruan, atau pucat akibat berbagai faktor. Perubahan ini bisa dipicu oleh kebiasaan sehari-hari maupun kondisi medis tertentu.

Dengan mengenali ciri-ciri warna gusi yang tidak sehat, Anda dapat lebih mudah mengenali adanya masalah sejak dini. Hal ini penting agar langkah pencegahan dan penanganan yang tepat dapat segera dilakukan, sehingga kesehatan gusi dan gigi tetap terjaga.
Warna Gusi yang Tidak Sehat
Gusi yang tidak sehat umumnya menunjukkan warna yang berbeda dari kondisi normal. Berikut ini adalah beberapa ciri warna gusi yang sebaiknya Anda waspadai:
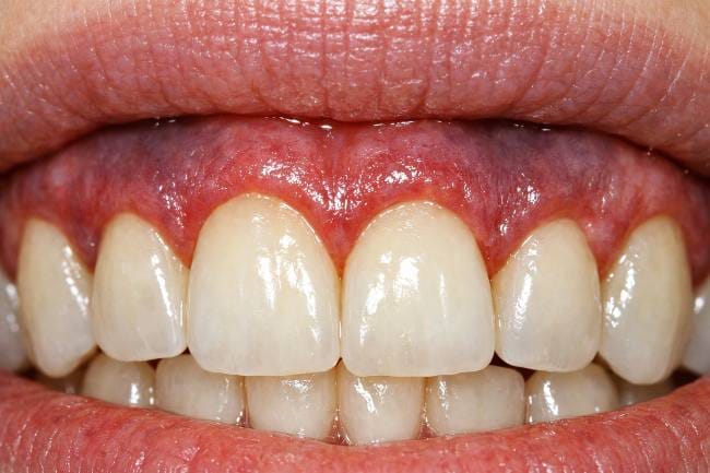
1. Gusi kemerahan
Gusi yang tampak merah terang umumnya bukan tanda gusi sehat. Kondisi ini biasanya menunjukkan adanya peradangan atau infeksi, seperti radang gusi (gingivitis) maupun periodontitis.
Gusi yang mengalami peradangan juga sering disertai gejala lain, seperti bengkak, mudah berdarah, serta nyeri saat mengunyah atau menyikat gigi. Jika tidak ditangani, kondisi ini dapat berkembang menjadi lebih serius hingga menyebabkan gigi goyang atau bahkan lepas.
2. Gusi kebiruan atau keunguan
Perubahan warna gusi menjadi biru atau ungu dapat menandakan adanya gangguan sirkulasi darah di area tersebut. Aliran darah yang tidak lancar bisa dipicu oleh berbagai faktor, seperti tekanan darah tinggi, cedera pada gusi, atau efek samping penggunaan tambalan amalgam yang dapat menimbulkan bercak kebiruan.
Selain itu, kondisi ini juga dapat berkaitan dengan infeksi berat, rendahnya kadar oksigen dalam darah, maupun penyakit tertentu yang memengaruhi pembuluh darah.
3. Gusi putih atau keabu-abuan
Gusi yang tampak pucat, putih, atau keabu-abuan dapat menjadi tanda adanya masalah kesehatan, baik pada rongga mulut maupun kondisi tubuh secara keseluruhan.
Gusi berwarna putih sering kali disebabkan oleh infeksi jamur, seperti kandidiasis oral, yang ditandai dengan munculnya bercak putih pada gusi. Sementara itu, gusi yang terlihat sangat pucat umumnya berkaitan dengan anemia, yaitu kondisi ketika jumlah sel darah merah berkurang sehingga aliran darah ke jaringan gusi menjadi tidak optimal.
Pada kasus yang lebih berat, seperti infeksi parah atau kerusakan jaringan, gusi dapat tampak keabu-abuan dan biasanya disertai rasa tidak nyaman.
4. Gusi hitam atau cokelat gelap
Pada beberapa orang, terutama yang memiliki kulit lebih gelap, gusi berwarna cokelat gelap dapat merupakan kondisi normal akibat faktor genetik dan tingginya pigmen melanin.
Namun, perubahan warna menjadi hitam pekat atau munculnya bercak gelap yang tidak biasa perlu diwaspadai, terutama jika terjadi secara tiba-tiba atau disertai gejala lain, seperti bengkak dan mudah berdarah. Kondisi ini dapat dipicu oleh kebiasaan merokok, efek samping obat-obatan tertentu, maupun gangguan medis, seperti penyakit Addison.
Jika gusi tiba-tiba tampak jauh lebih gelap tanpa penyebab yang jelas, sebaiknya segera periksakan diri ke dokter gigi untuk mendapatkan evaluasi lebih lanjut.
Penyebab Perubahan Warna Gusi yang Tidak Sehat
Ada sejumlah faktor yang dapat menyebabkan warna gusi menjadi tidak sehat, di antaranya:
- Penumpukan plak dan bakteri karena kurang menjaga kebersihan mulut
- Kebiasaan merokok
- Penggunaan obat-obatan tertentu, seperti antihipertensi, antibiotik tertentu, atau obat kemoterapi
- Penyakit tertentu, seperti diabetes, anemia, hingga gangguan imun
Untuk menjaga kesehatan gusi, Anda dianjurkan untuk menyikat gigi secara rutin dua kali sehari, menggunakan benang gigi, serta menghindari kebiasaan merokok. Selain itu, lakukan pemeriksaan gigi secara berkala, setidaknya setiap 6 bulan, agar masalah dapat terdeteksi sejak dini.
Perubahan warna gusi dapat menjadi sinyal awal adanya gangguan kesehatan, baik pada mulut maupun tubuh secara keseluruhan. Oleh karena itu, jangan abaikan setiap perubahan yang terjadi.
Jika Anda memiliki keluhan atau merasa bingung dengan perubahan warna gusi yang tidak sehat, segera konsultasikan ke dokter melalui fitur chat di aplikasi ALODOKTER agar mendapatkan pemeriksaan dan penanganan yang tepat.