Open bite adalah kondisi ketika gigi depan atas dan bawah tidak saling bersentuhan meskipun rahang sudah menutup rapat. Selain memengaruhi penampilan, open bite juga dapat mengganggu kenyamanan saat makan, cara berbicara, serta kesehatan gigi dan rahang bila tidak ditangani dengan tepat.
Oleh karena itu, memahami open bite sejak awal sangat penting agar Anda bisa mengenali tanda-tandanya lebih dini, mengetahui penyebabnya, serta menentukan langkah penanganan yang sesuai dengan kondisi yang mendasarinya.

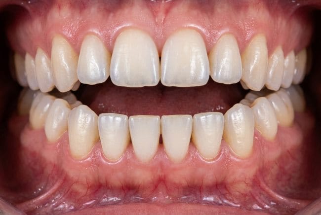
Open Bite dan Gejalanya
Open bite adalah kelainan susunan gigitan, di mana gigi depan atas dan bawah tidak bertemu saat mulut tertutup. Akibatnya, terbentuk celah di bagian depan mulut meskipun rahang sudah berada pada posisi menutup.
Berikut ini adalah beberapa tanda open bite yang sering dirasakan:
- Gigi depan atas dan bawah tidak saling menyentuh
- Sulit menggigit atau mengunyah makanan menggunakan gigi depan
- Pengucapan beberapa huruf terdengar kurang jelas atau cadel
- Rahang terasa cepat lelah atau tidak nyaman
- Senyum terlihat kurang seimbang
Pada anak-anak, open bite sering kali berkembang perlahan dan tidak langsung disadari. Karena itu, pemeriksaan gigi sejak dini sangat disarankan agar kelainan ini bisa ditangani sebelum bertambah berat.
Open Bite dan Penyebabnya
Open bite umumnya terjadi akibat kombinasi beberapa faktor. Berikut adalah beberapa penyebab dan faktor risiko yang dapat meningkatkan terjadinya open bite:
1. Kebiasaan di masa kecil
Beberapa kebiasaan, seperti mengisap jari atau menggunakan dot hingga usia di atas 4 tahun dapat memberikan tekanan berulang pada gigi dan rahang. Bila berlangsung terus-menerus, kondisi ini bisa mengganggu arah tumbuh gigi dan memicu open bite.
2. Gangguan pertumbuhan rahang
Open bite juga dapat terjadi ketika pertumbuhan rahang bawah berlangsung lebih cepat dibandingkan rahang atas, atau saat rahang atas berkembang lebih lambat dari seharusnya. Ketidakseimbangan pertumbuhan ini biasanya mulai terlihat sejak masa kanak-kanak dan dapat semakin jelas seiring bertambahnya usia bila tidak ditangani.
3. Masalah pada pertumbuhan gigi permanen
Gigi permanen yang tumbuh tidak teratur, berjejal, atau posisinya miring dapat mengganggu pertemuan gigi atas dan bawah. Hal ini membuat kontak gigitan menjadi tidak optimal.
Selain itu, keterlambatan tumbuh gigi atau kehilangan gigi dini juga dapat memengaruhi susunan gigitan. Kondisi tersebut dapat memperbesar kemungkinan terbentuknya open bite.
4. Kebiasaan mendorong lidah ke gigi depan (tongue thrust)
Tongue thrust adalah kebiasaan lidah menekan gigi depan saat menelan atau berbicara. Tekanan berulang dari lidah dapat mendorong gigi ke depan secara perlahan.
Jika kebiasaan ini berlangsung lama, celah di antara gigi depan dapat terbentuk dan menetap. Tongue thrust sering kali tidak disadari dan memerlukan evaluasi khusus.
5. Gangguan fungsi sendi rahang
Gangguan fungsi sendi rahang dapat memengaruhi cara rahang bergerak dan menutup. Hal ini dapat menyebabkan posisi rahang menjadi tidak stabil saat mulut tertutup.
Meskipun bukan penyebab utama, kondisi ini dapat memperberat open bite yang sudah ada. Keluhan biasanya disertai bunyi pada rahang atau rasa tidak nyaman saat membuka mulut.
6. Faktor keturunan
Bentuk rahang dan susunan gigi sebagian dipengaruhi oleh faktor genetik. Riwayat keluarga dengan kelainan gigitan serupa dapat meningkatkan risiko open bite.
Pada kondisi ini, open bite dapat muncul meskipun tidak ada kebiasaan buruk di masa kecil. Oleh karena itu, pemantauan pertumbuhan gigi sejak dini menjadi sangat penting.
Open Bite dan Penanganannya
Penanganan open bite perlu disesuaikan dengan usia dan tingkat keparahan kondisi. Pada anak-anak, menghentikan kebiasaan yang memicu open bite, seperti mengisap jari atau mendorong lidah, dapat membantu mencegah kondisi bertambah berat.
Sementara itu, pada remaja dan orang dewasa, dokter dapat menyarankan beberapa pilihan penanganan berikut:
- Pemasangan kawat gigi untuk memperbaiki posisi gigi
- Penggunaan alat ortodontik tertentu, seperti clear aligner, sesuai kebutuhan
- Pemasangan retainer setelah perawatan ortodontik selesai
- Pencabutan gigi, untuk memberikan ruang bila diperlukan
Pada kondisi yang cukup berat, dokter juga dapat mempertimbangkan tindakan operasi rahang untuk memperbaiki bentuk dan posisi rahang agar fungsi mulut kembali optimal.
Selain mengetahui penanganan open bite, tidak kalah penting bagi Anda untuk melakukan upaya pencegahannya, seperti membatasi penggunaan dot pada anak, menghentikan kebiasaan mengisap jari sejak dini, menjalani pemeriksaan gigi secara rutin, setidaknya setiap 6 bulan sekali, serta menjaga kebersihan gigi dan mulut secara optimal
Itulah beberapa informasi penting mengenai open bite yang perlu Anda ketahui. Kondisi ini memang tidak berbahaya, tetapi dapat memengaruhi fungsi makan, bicara, serta kenyamanan sehari-hari bila dibiarkan. Dengan mengenali gejala, penyebab, dan pilihan penanganannya sejak dini, risiko komplikasi dapat diminimalkan.
Jika Anda atau anggota keluarga memiliki tanda-tanda open bite, sebaiknya berkonsultasi dengan dokter gigi untuk mendapatkan saran dan penanganan yang sesuai. Anda bisa melakukannya secara online melalui Chat Bersama Dokter di aplikasi ALODOKTER. Semoga bermanfaat, dan jaga kesehatan gigi Anda, ya.