Penyebab gigi keropos adalah terkikisnya enamel atau lapisan terluar gigi. Kondisi tersebut umumnya disebabkan oleh kebiasaan mengonsumsi makanan dan minuman yang terasa asam dan manis, perawatan gigi yang tidak tepat, serta penyakit tertentu, seperti asam lambung.
Lapisan terluar gigi, atau enamel, berfungsi untuk melindungi gigi dari kerusakan fisik dan kimia. Oleh sebab itu, kerusakan lapisan ini dapat menjadi penyebab gigi keropos karena tidak ada lagi lapisan yang melindungi struktur gigi.

Enamel gigi sendiri merupakan jaringan terkeras pada tubuh manusia, yang bahkan lebih keras daripada tulang. Meski demikian, lapisan ini bisa rusak karena beberapa kondisi, terutama pengikisan akibat zat asam dalam makanan yang kita konsumsi.
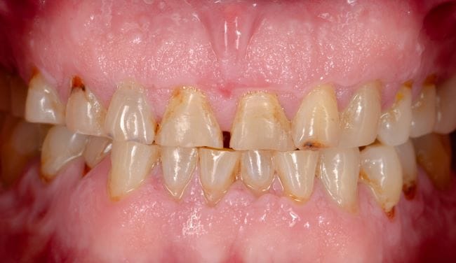
Ada beberapa gejala yang dapat dirasakan ketika terjadi kerusakan enamel gigi, seperti gigi sensitif, perubahan warna gigi, gigi retak, maupun nyeri pada gigi.
Penyebab Gigi Keropos
Seperti yang telah dijelaskan, pengikisan dan kerusakan enamel gigi merupakan penyebab gigi keropos yang paling sering terjadi. Umumnya, terkikisnya enamel gigi terjadi karena zat asam yang terdapat dalam makanan dan minuman.
Namun, hal ini bukan berarti Anda tidak boleh mengonsumsi makanan dan minuman yang bercita rasa asam. Air liur manusia sebenarnya dapat menetralkan zat asam di mulut.
Akan tetapi, jika Anda mengonsumsi makanan dan minuman asam secara berlebihan, air liur tidak akan mampu untuk menetralkannya. Akibatnya, zat asam berlebih ini akan mengikis enamel gigi.
Selain itu, kerusakan enamel gigi juga dapat disebabkan oleh makanan manis. Hal ini karena bakteri di mulut dapat menggunakan gula untuk berkembang biak dan menghasilkan zat asam yang dapat mengikis enamel gigi.
Untuk lebih jelasnya, berikut ini adalah beberapa kebiasaan dan kondisi yang dapat mengakibatkan kerusakan enamel gigi serta menjadi penyebab gigi keropos:
- Sering mengonsumsi makanan asam, seperti lemon, apel, jeruk, dan buah beri
- Kebiasaan minum soda, yang biasanya mengandung asam sitrat dan asam fosfat
- Kelebihan vitamin C yang dikonsumsi melalui buah-buahan
- Mengonsumsi makanan manis, seperti es krim, permen, sirop, dan karamel
- Mengonsumsi makanan bertepung, seperti roti putih
- Kebiasaan menggeretakkan gigi
- Refluks asam lambung (GERD)
- Mulut kering
- Penggunaan obat-obatan tertentu, seperti antihistamin dan aspirin
- Gangguan makan, seperti bulimia, yang dapat mengganggu pencernaan dan membuat gigi lebih sering terpapar asam lambung saat muntah
- Kelainan genetik, seperti amelogenesis imperfecta dan hypoplasia enamel
Kerusakan enamel gigi dapat menjadi lebih parah jika Anda tidak melakukan perawatan gigi dengan benar, seperti jarang membersihkan gigi ataupun menggosok gigi terlalu keras.
Cara Mencegah Gigi Keropos
Jika tidak dicegah, gigi keropos dapat menyebabkan berbagai masalah, seperti gigi kuning, gigi kasar dan bergerigi, bahkan gigi retak atau patah. Beberapa cara yang dapat Anda lakukan untuk mencegah gigi keropos adalah sebagai berikut:
- Batasi konsumsi makanan dan minuman yang memiliki cita rasa asam, seperti soda atau minuman berkarbonasi, lemon, jeruk, apel, dan buah
- Batasi konsumsi makanan dan minuman manis.
- Gunakan sedotan saat minum minuman asam dan manis untuk meminimalkan kontak gigi dengan cairan yang asam ataupun manis.
- Kunyah permen karet bebas gula setelah makan untuk meningkatkan produksi air liur sehingga dapat menetralkan zat asam di mulut.
- Minum air putih yang cukup untuk mencegah mulut kering dan menjaga mulut tetap lembap.
- Jika Anda menderita penyakit atau kondisi tertentu yang dapat membuat gigi terpapar asam lambung, sebaiknya segera periksakan diri ke dokter guna mendapatkan penanganan yang sesuai.
- Rutin membersihkan gigi menggunakan sikat gigi yang lembut.
- Hindari menyikat gigi terlalu keras karena dapat merusak enamel gigi.
- Gunakan pasta gigi dan obat kumur yang mengandung fluoride untuk memperkuat serta mecegah kerusakan enamel gigi.
Enamel gigi yang telah rusak tidak dapat tumbuh atau diperbaiki kembali. Oleh sebab itu, mengetahui penyebab gigi keropos dan cara mencegahnya merupakan kunci untuk menjaga kesehatan gigi Anda.
Jika Anda merasakan gejala kerusakan enamel gigi, periksakanlah ke dokter untuk medapat penanganan yang sesuai, sekaligus mencegah terjadinya pengeroposan gigi. Pemeriksaan ke dokter gigi juga sebaiknya rutin Anda lakukan sebanyak 2 kali dalam setahun meski tidak mengalami keluhan apa pun guna memastikan kesehatan gigi dan rongga mulut.