Fluorosis adalah kondisi yang disebabkan oleh asupan fluoride berlebihan, terutama saat masa pertumbuhan gigi. Meski sering tidak disadari, fluorosis dapat dicegah dan ditangani dengan mudah jika diketahui sejak dini.
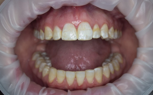
Fluorosis paling sering dikenal sebagai perubahan warna dan tekstur pada permukaan gigi, terutama pada anak-anak. Meski fluoride penting untuk melindungi gigi dari karies, kelebihan jumlahnya justru dapat menyebabkan masalah jangka panjang pada gigi, bahkan pada tulang dalam kasus berat.

Oleh karena itu, penting untuk memperhatikan asupan fluoride agar gigi tetap kuat dan terlindungi tanpa berisiko mengalami kerusakan akibat kelebihan fluoride.
Gejala Fluorosis
Gejala fluorosis umumnya ditandai oleh beberapa perubahan pada gigi, seperti:
- Permukaan gigi tampak bercak putih, garis halus, atau bercak coklat
- Gigi terlihat kusam, rapuh, atau mudah patah
- Tekstur gigi terasa kasar atau tidak rata saat disentuh
- Pada kasus berat, gigi bisa berlubang atau tampak terkikis
Pada kasus yang jarang dan berlangsung lama, kelebihan fluoride dapat memengaruhi tulang, menimbulkan keluhan seperti nyeri sendi, kaku, hingga perubahan bentuk tulang (skeletal fluorosis).
Penyebab Flurosis
Seperti telah dijelaskan sebelumnya, fluorosis terjadi akibat asupan fluoride yang berlebihan, terutama selama masa pertumbuhan gigi pada anak-anak. Fluoride memang bermanfaat untuk memperkuat gigi dan mencegah karies, tetapi jika jumlahnya terlalu banyak, justru bisa menyebabkan gangguan pada pembentukan enamel gigi.
Kondisi kelebihan fluoride ini biasanya disebabkan oleh konsumsi air minum dengan kadar fluoride tinggi, penggunaan pasta gigi berfluoride secara berlebihan atau sering tertelan oleh anak kecil, serta pemberian suplemen fluoride tanpa pengawasan dokter. Selain itu, penggunaan produk lain yang mengandung fluoride, seperti obat kumur, juga dapat meningkatkan risiko jika tidak sesuai anjuran.
Pada kasus seperti ini, gigi yang sedang tumbuh akan mengalami perubahan struktur dan warna. Akibatnya, permukaan gigi bisa tampak bercak putih, garis-garis, atau bahkan bercak coklat, tergantung seberapa banyak fluoride yang masuk ke tubuh selama proses pertumbuhan gigi berlangsung.
Penanganan Fluorosis
Fluorosis perlu ditangani dengan tepat agar tidak menimbulkan gangguan pada fungsi dan penampilan gigi. Penanganannya akan disesuaikan dengan tingkat keparahan fluorosis yang dialami oleh penderita. Berikut ini adalah beberapa penanganan fluorosis yang mungkin disarankan oleh dokter:
- Pemutihan gigi, untuk mengurangi bercak putih atau coklat pada gigi akibat fluorosis ringan hingga sedang.
- Mikroabrasi email, yaitu mengikis lapisan luar enamel gigi yang mengalami perubahan agar permukaan gigi lebih rata dan bersih.
- Penambalan gigi, untuk menutupi bercak atau bagian gigi yang rusak akibat fluorosis.
- Pemasangan veneer atau mahkota gigi, untuk kasus fluorosis berat yang menyebabkan kerusakan parah pada permukaan gigi.
Setelah melakukan penanganan tersebut, pastikan Anda mengikuti arahan dari dokter gigi agar cepat sembuh. Tidak hanya itu, Anda juga perlu melakukan pencegahan fluorosis dengan melakukan hal berikut:
- Batasi penggunaan pasta gigi berfluoride pada anak-anak. Gunakan sebesar biji beras untuk usia di bawah 3 tahun dan sebesar kacang polong untuk usia 3–6 tahun.
- Awasi anak saat menyikat gigi agar tidak menelan pasta gigi.
- Hindari pemberian suplemen fluoride tanpa anjuran atau resep dokter.
- Jika tinggal di daerah dengan kadar fluoride air tinggi, gunakan air minum yang telah difiltrasi atau air kemasan rendah fluoride.
- Edukasi seluruh anggota keluarga tentang pentingnya penggunaan fluoride dalam jumlah cukup, agar manfaatnya tetap optimal tanpa menimbulkan efek samping.
Jika Anda mengalami gejala fluorosis, sebaiknya segera konsultasikan ke dokter melalui Chat Bersama Dokter di aplikasi ALODOKTER. Nantinya, dokter akan membantu menilai tingkat keparahan kondisi gigi Anda serta memberikan saran perawatan yang tepat, mulai dari perawatan estetika hingga tindakan medis bila diperlukan.