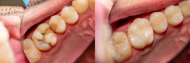
Tambal gigi adalah prosedur untuk memperbaiki gigi yang berlubang atau rusak, dengan cara memasukkan bahan tambalan ke gigi yang bermasalah. Metode penambalan dan bahan tambalan yang digunakan akan disesuaikan dengan kondisi gigi pasien.
Gigi berlubang terjadi ketika bakteri di dalam mulut memproduksi zat asam. Seiring waktu, zat asam tersebut dapat mengikis lapisan terluar (enamel) gigi sehingga membuat gigi berlubang. Jika tidak segera diatasi, lubang di gigi bisa menyebabkan kerusakan lebih lanjut, seperti gigi tanggal (copot) dan pulpitis.

Tujuan dan Indikasi Tambal Gigi
Prosedur tambal gigi bertujuan untuk mengembalikan bentuk dan fungsi gigi yang rusak atau berlubang. Tanda-tanda bahwa gigi perlu ditambal antara lain:
- Sakit gigi muncul secara tiba-tiba tanpa adanya pemicu
- Nyeri saat menggigit atau ketika mengonsumsi makanan atau minuman yang manis, dingin, atau panas
- Perubahan warna gigi menjadi cokelat atau cokelat kehitaman
Tambal gigi juga dapat dilakukan untuk memperbaiki gigi yang retak, patah, atau terkikis akibat kebiasaan tertentu, seperti menggertakkan gigi atau menggigit kuku.
Jenis Bahan Tambalan
Dokter gigi akan menyarankan beberapa bahan tambalan, tergantung pada kondisi pasien. Berikut adalah penjelasan mengenai bahan yang dapat digunakan, beserta kelebihan dan kekurangannya:
Komposit
Komposit adalah bahan campuran antara resin akrilik dan serbuk kaca. Bahan ini merupakan bahan tambalan yang sekarang paling sering digunakan, baik untuk tambal gigi sementara maupun tambal gigi permanen. Selain pada lubang gigi, komposit juga bisa digunakan pada prosedur veneer gigi atau untuk mengganti bagian gigi yang patah.
Sejumlah kelebihan komposit jika digunakan untuk bahan tambal gigi adalah:
- Warna bahan komposit dapat disesuaikan dengan warna gigi
- Cukup kuat dan tahan terhadap tekanan ketika dipakai mengunyah atau menggigit makanan biasa
- Tidak perlu sering diperbaiki atau diganti
Sementara kekurangan yang bisa terjadi akibat penggunaan bahan komposit untuk tambal gigi antara lain:
- Lepas jika sering digunakan untuk menggigit makanan yang bertekstur keras
- Menimbulkan reaksi alergi lokal meski jarang terjadi
- Menguning lebih cepat daripada gigi
Amalgam
Amalgam adalah campuran dari beberapa logam, yaitu merkuri, perak, tembaga, dan timah. Amalgam biasanya digunakan untuk menambal gigi belakang. Namun, bahan tambalan ini sudah jarang digunakan.
Beberapa kelebihan amalgam sebagai bahan tambal gigi adalah:
- Kuat, tahan lama, dan tahan terhadap tekanan ketika digunakan untuk menggigit dan mengunyah
- Paling murah daripada jenis bahan tambalan lain
- Tidak perlu sering diperbaiki atau diganti
Sementara kekurangannya antara lain:
- Mengandung merkuri
- Menyebabkan reaksi alergi dan ruam meski jarang terjadi
- Warnanya tidak sewarna dengan gigi sehat dan membuat gusi menjadi hitam
Ionomer kaca
Ionomer kaca adalah campuran asam akrilik dengan serbuk kaca. Umumnya, jenis bahan ini digunakan untuk tambalan kecil di bagian gigi yang tidak sering dipakai untuk menggigit. Ionomer kaca juga bisa digunakan pada gigi yang berlubang besar sebagai dasar tambalan sebelum dicampur dengan bahan tambalan lain.
Beberapa kelebihan ionomer kaca bila digunakan untuk bahan tambal gigi adalah:
- Warna tambalan ionomer kaca sesuai dengan warna gigi
- Risiko munculnya reaksi alergi relatif rendah
- Bisa digunakan untuk bayi dan balita, karena tidak memerlukan pengeboran
Adapun kekurangan ionomer kaca adalah:
- Hanya bisa untuk lubang gigi yang kecil
- Seiring waktu, bahan ini dapat menjadi tempat penumpukan plak yang meningkatkan risiko penyakit gusi
- Menyebabkan reaksi alergi dan ruam meski jarang terjadi
- Terlepas dari gigi
Ionomer resin
Ionomer resin adalah campuran antara asam akrilik dengan resin akrilik. Ionomer resin biasanya digunakan pada gigi yang tidak sering dipakai mengunyah, seperti gigi depan, dan sebagai bahan tambalan pada gigi susu.
Beberapa kelebihan ionomer resin adalah:
- Warna bahan sesuai warna gigi dan lebih transparan daripada ionomer kaca
- Risiko munculnya reaksi alergi lokal rendah
Sementara kekurangannya adalah:
- Penggunaan terbatas, tidak boleh digunakan untuk menggigit makanan keras
- Daya tahan lebih rendah daripada bahan komposit dan amalgam
- Menyebabkan reaksi alergi dan ruam meski jarang terjadi
Porselen
Porselen atau keramik tidak hanya digunakan sebagai bahan tambal gigi, tetapi juga mahkota gigi (dental crown) dan veneer gigi. Porselen juga bisa dicampur dengan logam agar tidak mudah rusak dan menghambat pembusukan gigi yang dipasangi crown.
Sejumlah kelebihan porselen jika digunakan untuk bahan tambal gigi adalah:
- Warnanya bisa sangat mirip dengan warna gigi
- Risiko terkikis atau busuk sangat rendah
- Risiko infeksi rendah
- Tidak menyebabkan reaksi alergi
Adapun kekurangan bahan porselen adalah:
- Bahan porselen rapuh dan mudah retak
- Biaya bahan mahal
Aloi emas
Aloi emas mengandung bahan emas, tembaga, dan beberapa logam lain. Aloi emas lebih sering digunakan untuk mengatasi lubang gigi yang besar dan luas. Beberapa kelebihan bahan aloi emas untuk tambal gigi adalah:
- Daya tahan yang sangat baik
- Tidak mudah retak atau terkikis
- Risiko infeksi rendah
- Bagian gigi yang harus diambil sedikit
Sementara kekurangan bahan aloi emas antara lain:
- Harga yang mahal
- Warnanya tidak sesuai dengan warna gigi
- Menyebabkan reaksi alergi dan ruam meski jarang terjadi
Peringatan dan Larangan Tambal Gigi
Tambal gigi umumnya merupakan prosedur yang aman. Namun, pemilihan bahan tambalan perlu diperhatikan. Pasien yang memiliki alergi terhadap resin, arkrilik, atau logam, tidak disarankan untuk menggunakan tambalan dengan campuran tersebut.
Seperti yang telah disebutkan, amalgam mengandung merkuri. Oleh karena itu, pasien yang memiliki setidaknya satu kondisi di bawah ini juga tidak disarankan untuk menjalani prosedur tambal gigi dengan bahan almagam:
- Berusia di bawah 6 tahun
- Sedang hamil, menyusui, atau sedang merencanakan kehamilan
- Menderita penyakit saraf, seperti penyakit Alzheimer, penyakit Parkinson, atau multiple sclerosis
- Menderita penyakit ginjal
Sebelum Tambal Gigi
Sebelum penambalan gigi dilakukan, ada tahap persiapan untuk menentukan metode dan jenis bahan tambalan yang tepat, antara lain:
Pemeriksaan riwayat kesehatan
Langkah awal yang dilakukan oleh dokter gigi sebelum menjalankan tambal gigi adalah memeriksa riwayat kesehatan pasien. Pada tahap ini, informasikan kepada dokter jika Anda:
- Sedang hamil atau menyusui
- Sedang mengonsumsi obat medis atau herbal
- Berencana menggunakan kawat gigi dalam waktu dekat
- Memiliki alergi terhadap logam, merkuri, atau bahan lain yang terkandung di dalam bahan tambal gigi
- Mengonsumsi obat-obatan pengencer darah atau penurun tekanan darah
Dengan mengetahui kondisi pasien, dokter dapat melakukan langkah pencegahan terhadap risiko yang mungkin terjadi. Sebagai contoh, dokter akan mencari bahan tambalan alternatif jika pasien alergi terhadap bahan tertentu.
Pemeriksaan kondisi gigi
Setelah memeriksa riwayat kesehatan pasien, dokter akan melihat kondisi gigi pasien. Bila perlu, dokter akan menyarankan tes tambahan, seperti foto Rontgen gigi.
Penentuan metode dan jenis bahan tambalan
Langkah selanjutnya adalah menentukan metode dan jenis bahan tambalan berdasarkan beberapa faktor berikut:
- Kesehatan mulut dan tubuh pasien secara keseluruhan
- Lokasi gigi yang berlubang
- Tekanan gigitan pada area gigi yang berlubang
- Faktor estetika
- Kemampuan finansial pasien
Selanjutnya, dokter gigi akan menjelaskan tentang prosedur yang akan dijalani pasien, risiko efek samping dan komplikasi, serta manfaat yang dapat diperoleh pasien.
Prosedur Tambal Gigi
Berdasarkan metode yang digunakan untuk mengisi bahan tambalan, prosedur tambal gigi terbagi menjadi dua kategori, yaitu:
Tambal gigi secara langsung
Tambal gigi secara langsung atau direct filling dilakukan dengan terlebih dahulu membersihkan kotoran di lubang gigi. Setelah itu, dokter gigi akan memasukkan bahan tambalan secara langsung ke gigi yang berlubang. Jenis bahan tambalan yang biasanya digunakan dalam direct filling adalah amalgam dan komposit.
Proses tambal gigi secara langsung umumnya selesai dalam satu kali pertemuan. Berikut adalah tahapan yang akan dilakukan oleh dokter gigi pada proses tambal gigi secara langsung:
- Memberikan semprotan atau suntikan bius lokal untuk membuat area di sekitar gigi pasien mati rasa
- Menyingkirkan bagian gigi yang rusak menggunakan bor gigi
- Memeriksa ulang area gigi yang akan ditambal untuk memastikan seluruh kotoran telah hilang
- Mengoleskan obat khusus agar tambalan lebih menyatu dengan gigi
- Membuat lapisan dari ionomer kaca atau resin komposit untuk melindungi saraf jika lubang gigi nyaris mengenai akar
- Memasang tambalan ke gigi yang berlubang dengan bahan yang telah dipilih sebelumnya
- Menyinari tambalan dengan sinar khusus agar mengeras
- Memoles dan mengikir tambalan gigi agar tidak mengganjal
Tambal gigi secara tidak langsung
Tambal gigi secara tidak langsung atau indirect filling dilakukan ketika lubang gigi sangat besar dan struktur gigi yang tersisa tidak bisa menampung bahan tambalan. Akhirnya, tambalan harus dicetak terlebih dahulu sesuai dengan bagian gigi yang telah rusak.
Bahan tambalan yang sering digunakan pada metode ini adalah emas dan porselen. Karena butuh proses mencetak, indirect filling membutuhkan 2 kali kunjungan. Tahap yang dilakukan dalam indirect filling adalah:
- Pada kunjungan pertama, dokter gigi akan membersihkan kotoran di gigi, lalu mencetak bagian gigi yang berlubang. Hasil cetakan selanjutnya akan dibuat dengan menggunakan bahan tambalan. Dokter akan menempatkan tambalan sementara ke gigi berlubang sampai cetakan gigi selesai dibuat.
- Pada kunjungan kedua, tambalan sementara akan dilepas dan dokter akan memeriksa kecocokan antara gigi berlubang dan hasil cetakan. Selanjutnya, dokter gigi akan merekatkan tambalan gigi yang telah dicetak ke gigi yang berlubang.
Setelah Tambal Gigi
Setelah prosedur tambal gigi selesai, dokter gigi akan mengajarkan pasien cara merawat tambalan gigi dan mencegah infeksi yang dapat terjadi pada gigi yang ditambal. Cara-cara yang bisa dilakukan pasien antara lain:
- Menggosok gigi dengan pasta gigi yang mengandung fluoride secara rutin sebanyak 2 kali sehari
- Membersihkan celah gigi secara rutin dengan benang gigi (dental floss)
- Memeriksakan dan membersihkan gigi secara rutin di dokter gigi
- Mengonsumsi makanan bergizi seimbang
Gigi sensitif cukup umum dialami setelah prosedur tambal gigi. Namun, keluhan ini biasanya akan segera hilang dengan sendirinya. Agar rasa tidak nyaman berkurang, pasien disarankan untuk:
- Menggunakan sisi mulut yang berlawanan dengan gigi yang ditambal untuk mengunyah
- Menghindari konsumsi makanan atau minuman yang terlalu panas, dingin, manis, dan asam
- Menggosok gigi di sekitar tambalan dengan lembut
Reaksi alergi juga bisa baru diketahui beberapa saat atau beberapa hari setelah tambal gigi. Jika muncul reaksi alergi, seperti gatal dan ruam di sekitar lokasi penambalan gigi, segera konsultasi ke dokter untuk mengganti jenis tambalan.
Risiko Tambal Gigi
Ada beberapa risiko yang mungkin terjadi akibat prosedur tambal gigi, yaitu:
Gigi sensitif
Pada beberapa kasus, masalah gigi sensitif bisa tidak membaik. Jika keluhan ini tidak mereda dalam 2–4 minggu atau malah memburuk, segera periksakan ke dokter.
Nyeri gigi
Nyeri gigi setelah tambal gigi dapat terjadi saat menggigit atau ketika gigi yang baru ditambal bersentuhan dengan gigi lain. Jika hal ini terjadi, lakukan pemeriksaan ke dokter gigi karena tambalan gigi mungkin perlu dievaluasi kembali.
Nyeri gigi juga bisa terjadi jika kerusakan pada gigi sudah sangat dekat dengan akar gigi. Pada kondisi tersebut, pasien akan disarankan menjalani perawatan akar gigi.
Tambalan gigi aus
Tambalan gigi dapat retak atau lepas dari tempatnya akibat tekanan yang terus menerus ketika mengunyah atau menggigit. Kondisi ini mungkin tidak disadari oleh orang yang menggunakan tambal gigi, sampai gigi kembali terlihat berlubang atau muncul gejala.
Segera lakukan pemeriksaan ke dokter gigi jika mengalami kondisi berikut ini:
- Terasa ada bagian yang tajam pada tambalan gigi
- Terlihat atau terasa ada celah pada tambalan gigi
- Tambalan gigi patah
- Gigi menjadi sangat sensitif
- Gigi yang ditambal terasa sakit