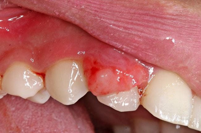
Kanker gusi adalah tumor ganas yang tumbuh di gusi. Kondisi ini ditandai dengan pertumbuhan jaringan yang tidak normal atau munculnya luka pada gusi. Kanker gusi juga bisa menyebabkan gusi bengkak, merah, dan mudah berdarah.
Kanker gusi merupakan jenis kanker mulut yang jarang terjadi. Gejala awal kanker gusi sering kali tidak disadari. Hal ini karena keluhan awal yang muncul cenderung mirip dengan tanda radang gusi (gingivitis).

Kanker gusi lebih berisiko terjadi pada orang yang merokok dan mengonsumsi minuman beralkohol secara berlebihan. Jika dibiarkan tanpa penanganan, sel kanker gusi bisa menyebar ke leher atau bahkan bagian tubuh lain.
Penyebab Kanker Gusi
Kanker gusi terjadi ketika sel-sel jaringan gusi tumbuh secara tidak terkendali. Belum diketahui apa yang menyebabkan sel-sel tersebut tumbuh tidak normal. Namun, ada faktor-faktor yang dapat meningkatkan risiko terjadinya kanker gusi, yaitu:
- Berjenis kelamin laki-laki
- Berusia di atas 40 tahun
- Memiliki kebiasaan merokok
- Memiliki kebiasaan mengunyah tembakau dan sirih
- Mengonsumsi minuman beralkohol secara berlebihan atau kecanduan alkohol
- Menderita infeksi HPV
- Tidak menjaga kebersihan mulut dan gigi
- Kurang mengonsumsi sayur dan buah-buahan
Gejala Kanker Gusi
Sebagian besar kanker gusi tidak menimbulkan keluhan apa pun sampai sel kanker menyebar ke jaringan tubuh yang lain. Namun, jika gejala-gejala kanker gusi yang umum terjadi adalah:
- Bercak-bercak berwarna putih (leukoplakia), merah, atau campuran di gusi
- Gusi mudah terluka atau berdarah
- Gusi bengkak atau menebal
- Nyeri gusi yang tidak kunjung membaik
- Perubahan pada gusi yang menyebabkan kesulitan saat memakai gigi palsu, padahal biasanya tidak bermasalah
- Luka atau benjolan di gusi yang tidak kunjung sembuh
- Benjolan di gusi yang tumbuh dengan cepat
- Napas berbau tidak sedap
- Gigi goyang atau gigi copot
Jika Anda merasakan gejala di atas, jangan tunda untuk memeriksakan diri ke dokter. Anda juga bisa memanfaatkan layanan Chat Bersama Dokter untuk mendapatkan informasi dan penanganan awal yang sesuai.
Kapan harus ke dokter
Lakukan pemeriksaan ke dokter jika Anda mengalami keluhan seperti yang telah disebutkan di atas, apalagi jika gejala sudah berlangsung lebih dari 2 minggu.
Jangan tunda berkonsultasi dengan dokter jika Anda:
- Sulit berbicara atau mengunyah
- Sulit membuka rahang
- Mengalami mati rasa pada bibir bawah
Gejala-gejala di atas bisa menjadi tanda kanker gusi memasuki stadium lanjut.
Diagnosis Kanker Gusi
Diagnosis kanker gusi dilakukan dengan menanyakan gejala yang muncul dan riwayat kesehatan pasien. Selanjutnya, dokter akan memeriksa kondisi mulut, terutama gigi dan gusi.
Untuk menegakkan diagnosis, dokter dapat melakukan pemeriksaan penunjang, seperti:
- Pemeriksaan dengan pewarna biru (toluidine blue O), untuk membedakan jaringan yang sehat dan yang tidak normal
- Biopsi, untuk mendeteksi keberadaan sel kanker dengan cara mengambil sampel benjolan atau area yang dicurigai tidak normal dan memeriksanya di laboratorium
- CT scan atau foto Rontgen gigi dan rahang, untuk memeriksa apakah kanker menyebar dari gusi ke gigi atau tulang rahang
- PET scan, untuk melihat apakah terjadi penyebaran kanker ke bagian tubuh lain
- Endoskopi, untuk melihat apakah kanker menyebar ke saluran pencernaan
Agar lebih mudah, Anda bisa memanfaatkan fitur booking dokter online. Dengan begitu, Anda dapat memilih jadwal sesuai waktu luang dan bertemu langsung dengan dokter untuk mendapatkan perawatan yang tepat.
Pengobatan Kanker Gusi
Pengobatan kanker gusi bertujuan untuk mengangkat kanker dan mencegahnya supaya tidak tumbuh kembali. Tindakan yang dilakukan dokter akan disesuaikan dengan lokasi dan tingkat keparahan kanker.
Berikut ini adalah beberapa metode penanganan kanker gusi:
Operasi
Operasi merupakan metode yang umum dilakukan untuk kanker mulut, termasuk kanker gusi. Tindakan bedah ini bertujuan untuk mengangkat sel-sel kanker di gusi bagian atas maupun bawah, sekaligus jaringan sehat di sekitarnya. Hal ini berguna untuk memastikan bahwa kanker benar-benar telah bersih.
Radioterapi
Radioterapi atau terapi radiasi bertujuan untuk membunuh sel-sel kanker di gusi dengan memancarkan sinar-X ke tubuh pasien. Radioterapi dapat dikombinasikan dengan operasi atau kemoterapi.
Kemoterapi
Kanker gusi juga bisa ditangani dengan kemoterapi. Terapi ini dilakukan dengan memberikan obat-obatan yang dapat membunuh sel kanker dan menghambat pertumbuhannya. Kemoterapi umumnya dianjurkan untuk kanker gusi yang telah menyebar.
Kemoterapi juga dapat digunakan sebagai terapi pendukung untuk dikombinasikan dengan operasi atau radioterapi. Terapi ini dapat membantu mengecilkan kanker agar lebih mudah diangkat saat operasi, atau memastikan tidak ada sel kanker yang tersisa setelah operasi.
Komplikasi Kanker Gusi
Kanker gusi yang terdeteksi lebih awal dan segera ditangani bisa disembuhkan. Sebaliknya, bila terlambat diketahui atau tidak diobati, kanker dapat menyebar ke area tubuh lain.
Berikut adalah beberapa penyebaran kanker gusi yang bisa terjadi dan keluhan yang disebabkannya:
- Penyebaran ke tulang rahang, yang dapat menyebabkan nyeri berat terus-menerus atau patah tulang rahang
- Penyebaran ke kelenjar getah bening di leher, yang dapat menyebabkan benjolan leher, bengkak dan nyeri di leher, atau nyeri menelan
- Penyebaran ke paru-paru, yang dapat menyebabkan nyeri dada, sesak napas, dan batuk terus-menerus
- Penyebaran ke liver, yang dapat menyebabkan nyeri perut bagian kanan atas, penyakit kuning, dan perut bengkak
Pencegahan Kanker Gusi
Karena penyebabnya belum diketahui secara pasti, kanker gusi sulit dicegah. Akan tetapi, risiko terjadinya penyakit ini bisa dikurangi dengan menjaga kesehatan mulut dan gusi. Cara-cara yang dapat dilakukan antara lain:
- Menjaga kebersihan mulut dengan menyikat gigi 2 kali sehari dan membersihkan sela-sela gigi dengan benang
- Tidak merokok atau menggunakan produk apa pun yang mengandung nikotin
- Menghindari kebiasaan mengunyah sirih atau tembakau
- Menghentikan atau membatasi konsumsi minuman beralkohol
- Memeriksakan kesehatan gigi secara teratur
- Mengonsumsi makanan bergizi seimbang, termasuk sayur dan buah-buahan, untuk meningkatkan daya tahan tubuh