Cara menghilangkan kerak gigi yang paling efektif biasanya dilakukan dengan penanganan medis. Namun, kondisi ini juga bisa ditangani dengan beberapa cara sederhana di rumah, mulai dari membersihkan gigi menggunakan dental floss hingga berkumur dengan minyak kelapa atau larutan cuka.
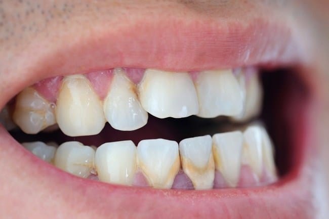
Munculnya kerak gigi atau karang gigi disebabkan oleh penumpukan plak di gigi yang tidak kunjung dihilangkan. Plak gigi sendiri merupakan lapisan lengket di permukaan gigi yang terbentuk dari sisa-sisa makanan. Jika dibiarkan begitu saja, plak gigi akan mengeras hingga membentuk kerak gigi.

Kerak gigi dapat terjadi pada siapa saja. Namun, kondisi ini lebih berisiko dialami oleh orang yang memiliki kebiasaan merokok, jarang menyikat gigi, atau gemar mengonsumsi makanan dan minuman manis.
Jika tidak segera ditangani, kerak gigi dapat menyebabkan gigi menjadi rusak dan berlubang hingga memicu terjadinya radang gusi atau gingivitis. Oleh karena itu, agar kesehatan gigi dan mulut tetap terjaga, cara menghilangkan kerak gigi sangat penting untuk diketahui dan dilakukan.
Cara Menghilangkan Kerak Gigi yang Ampuh
Cara menghilangkan kerak gigi harus disesuaikan dengan tingkat keparahannya. Bila kerak gigi masih berupa lapisan atau kerak yang tipis, penanganan sederhana di rumah, mulai dari rutin menyikat gigi hingga berkumur dengan air cuka, dapat dilakukan untuk menghilangkannya.
Namun, jika kerak gigi sudah mengeras, penanganan medis berupa prosedur scaling gigi menjadi cara paling efektif untuk mengatasinya. Berikut ini adalah penjelasan lebih lanjut mengenai berbagai cara menghilangkan kerak gigi:
1. Menyikat gigi secara rutin
Rutin menyikat gigi sebanyak 2 kali sehari menjadi salah satu cara menghilangkan kerak gigi yang tipis, yaitu plak pada gigi yang dapat memicu timbulnya kerak gigi. Cara ini juga merupakan langkah yang paling mudah dilakukan.
Agar manfaatnya dalam menghilangkan kerak gigi dirasakan secara optimal, gunakanlah sikat gigi dengan bulu yang halus supaya bisa menjangkau sela-sela gigi dan pasta gigi dengan kandungan fluoride. Selain itu, usahakan untuk menyikat gigi dengan lembut dan merata pada seluruh permukaan gigi selama 2–3 menit.
2. Membersihkan gigi dengan benang gigi
Seperti namanya, benang gigi atau dental floss adalah benang tipis dan lembut yang digunakan untuk membersihkan sisa-sisa makanan yang menempel di sela-sela gigi. Jika digunakan secara rutin, benang gigi mampu mencegah terbentuknya plak pada gigi yang bisa berkembang menjadi kerak gigi.
Jika Anda baru pertama kali menggunakan benang gigi sebagai cara menghilangkan kerak gigi, hindarilah membersihkan sela-sela gigi terlalu kencang. Pasalnya, benang gigi dapat menyebabkan luka pada gusi jika tidak digunakan secara hati-hati.
3. Menyikat gigi dengan baking soda
Cara lainnya yang bisa Anda lakukan untuk menghilangkan kerak gigi adalah menyikat gigi dengan baking soda. Baking soda mampu menetralkan asam di dalam mulut sehingga mencegah terbentuknya plak yang menjadi pemicu utama munculnya kerak gigi.
Berikut ini adalah langkah-langkah menggunakan baking soda untuk menghilangkan kerak gigi:
- Campurkan 1 sendok makan air dengan 1 sendok makan baking soda hingga teksturnya menyerupai pasta.
- Sikatlah gigi dengan campuran tersebut selama 1 menit. Usahakan agar pasta baking soda melapisi semua bagian gigi.
- Setelah selesai, berkumurlah dengan air untuk menghilangkan sisa baking soda hingga bersih.
Tak hanya bermanfaat sebagai cara menghilangkan kerak gigi, menyikat gigi dengan baking soda juga dapat memutihkan gigi.
4. Melakukan oil pulling dengan minyak kelapa
Oil pulling atau berkumur dengan minyak sudah lama dikenal memiliki banyak manfaat bagi kesehatan gigi dan mulut, salah satunya menghilangkan kerak gigi. Dalam praktiknya, cara ini harus dilakukan menggunakan minyak nabati, seperti minyak kelapa.
Minyak kelapa memiliki kemampuan untuk mengurangi pembentukan plak pada gigi. Dengan begitu, risiko munculnya kerak gigi pun bisa dikurangi. Selain itu, minyak kelapa juga mengandung asam laurat yang memiliki sifat antibakteri, sehingga bisa mencegah terjadinya berbagai gangguan gigi dan mulut.
Berikut ini adalah cara menghilangkan kerak gigi dengan menggunakan minyak kelapa:
- Siapkan 1 sendok makan minyak kelapa.
- Berkumurlah dengan minyak kelapa tersebut selama 15–20 menit.
- Setelah selesai, buang minyak kelapa ke tempat sampah. Hindari meludahkannya ke wastafel karena dapat menyumbat saluran pembuangan.
- Bersihkan mulut dengan berkumur menggunakan air, kemudian sikat gigi seperti biasa.
Hal yang perlu Anda ingat saat melakukan oil pulling adalah jangan pernah menelan minyak saat berkumur. Selain itu, berkumurlah dengan santai agar tidak menyebabkan nyeri pada otot-otot wajah.
5. Berkumur dengan larutan cuka
Cara menghilangkan kerak gigi yang bisa Anda lakukan di rumah selanjutnya adalah berkumur dengan larutan cuka. Hal ini karena cuka memiliki sifat antibakteri yang dapat mengurangi pembentukan plak gigi, sehingga mencegahnya berkembang menjadi kerak gigi.
Berkumur dengan larutan cuka sangat mudah untuk dilakukan. Anda hanya perlu mengikuti langkah-langkah berikut ini:
- Masukkan 2 sendok makan cuka ke dalam 1 gelas air, kemudian aduk hingga rata.
- Berkumurlah seperti biasa dengan campuran air dan cuka selama 30 detik.
- Setelah selesai, buang larutan cuka ke wastafel kemudian bersihkan mulut dengan cara berkumur menggunakan air putih.
Perlu diketahui bahwa cuka juga dapat merusak lapisan pelindung gigi (enamel gigi). Oleh karena itu, Anda tidak dianjurkan untuk berkumur dengan larutan cuka terlalu sering.
6. Menjalani scaling gigi
Seperti yang telah dijelaskan sebelumnya, kerak gigi yang sudah mengeras hanya dapat dihilangkan menggunakan prosedur scaling gigi. Itu artinya, kerak gigi sudah tidak bisa lagi diatasi dengan cara-cara sederhana di atas.
Scaling gigi merupakan prosedur khusus yang berfungsi untuk membersihkan kerak gigi. Cara menghilangkan kerak gigi ini hanya dapat dilakukan oleh dokter gigi. Nantinya, dokter akan menggunakan alat khusus untuk menghilangkan kerak pada permukaan gigi sehingga gigi akan kembali bersih.
Sebelum melakukan scaling gigi, dokter tentunya akan memeriksa terlebih dahulu kondisi gigi Anda. Jika tidak ditemukan hal yang dapat mengganggu prosedur, prosedur scaling gigi bisa langsung Anda jalani.
Adapun langkah-langkah yang akan dilakukan oleh dokter selama prosedur scaling gigi adalah:
- Memberikan obat bius lokal bila diperlukan, untuk menghilangkan nyeri yang mungkin muncul selama proses pembersihan kerak gigi
- Membersihkan kerak gigi menggunakan alat pengikis ultrasonik yang bisa mengeluarkan getaran
- Menggunakan alat pengikis manual atau scalerdengan ujung runcing untuk membersihkan kerak gigi di area yang tidak terjangkau oleh alat pengikis ultrasonik
Meskipun dapat dihilangkan, kerak gigi harus dicegah karena bisa mempengaruhi kesehatan gigi dan mulut. Untuk melakukannya, Anda tentunya perlu menjaga kebersihan gigi dan mulut dengan rutin menyikat gigi secara rutin serta menggunakan obat kumur.
Anda juga disarankan untuk membatasi konsumsi makanan dan minuman yang mengandung karbohidrat tinggi, contohnya roti dan soda. Karbohidrat dapat meningkatkan pembentukan asam oleh bakteri di dalam mulut dan mempercepat pembentukan kerak gigi.
Selain itu, jangan lupa untuk melakukan pemeriksaan gigi ke dokter gigi secara rutin, setidaknya setiap 6 bulan sekali. Hal ini bertujuan agar kesehatan gigi dan mulut Anda tetap terjaga.
Jika berbagai cara menghilangkan kerak gigi, terutama dengan cara sederhana, sudah Anda lakukan tetapi kerak gigi tidak kunjung menghilang atau justru bertambah parah, sebaiknya periksakan ke dokter untuk mendapatkan penanganan yang sesuai.