Glioblastoma adalah jenis kanker ganas yang tumbuh di sistem saraf pusat, terutama di otak atau sumsum tulang belakang. Kanker ini dapat menyebabkan sakit kepala berkepanjangan, gangguan bicara, hingga kejang. Glioblastoma lebih berisiko terjadi pada orang yang pernah menjalani radioterapi di kepala.
Glioblastoma atau glioblastoma multiforme merupakan jenis kanker otak yang umumnya tumbuh di otak besar, tepatnya di bagian depan (lobus frontal) dan samping (lobus temporal). Namun, glioblastoma juga dapat terjadi di batang otak dan sumsum tulang belakang.

Glioblastoma bisa tumbuh dengan cepat dan menyerang jaringan sehat di sekitarnya. Hal ini karena glioblastoma dapat menumbuhkan pembuluh darah untuk suplai darah sendiri. Meski termasuk kanker ganas, glioblastoma jarang menyebar ke bagian tubuh lain.
Penyebab dan Faktor Risiko Glioblastoma
Glioblastoma terjadi ketika sel atrosit, yaitu sel yang mendukung kerja saraf di otak, mengalami mutasi (perubahan) genetik dan tumbuh tidak terkendali.
Belum diketahui secara pasti apa yang menyebabkan sel atrosit tumbuh tidak terkendali. Akan tetapi, ada faktor-faktor yang meningkatkan risiko seseorang terkena glioblastoma, antara lain:
- Berjenis kelamin laki-laki
- Berusia di atas 50 tahun
- Pernah menjalani terapi radiasi (radioterapi) untuk tumor kepala
- Memiliki kelainan genetik, seperti sindrom Turcot, neurofibromatosis tipe 1, atau sindrom Li-Fraumeni
Gejala Glioblastoma
Gejala glioblastoma dapat bervariasi, tergantung pada lokasi tumbuhnya kanker. Meski demikian, beberapa keluhan glioblastoma yang sering muncul adalah:
- Sering sakit kepala, yang biasanya memburuk pada pagi hari
- Mual dan muntah
- Penglihatan kabur atau ganda
- Gangguan pendengaran
- Sulit berkonsentrasi
- Mudah mengantuk
- Perubahan perilaku atau kepribadian
- Sulit berbicara
- Kesulitan memahami perkataan orang lain
- Lemah otot
- Mati rasa atau kesemutan
- Gangguan keseimbangan
- Nafsu makan menurun
- Kejang
Kapan harus ke dokter
Segera periksakan diri Anda ke dokter jika mengalami gejala-gejala glioblastoma seperti yang telah disebutkan di atas. Pemeriksaan perlu dilakukan agar keberadaan sel kanker dapat segera terdeteksi. Dengan begitu, pengobatan bisa dilakukan secepatnya.
Jika membutuhkan pemeriksaan, gunakan fitur Buat Janji di aplikasi ALODOKTER untuk melihat jadwal praktik dokter, membaca ulasan pasien, dan melakukan booking dengan mudah. Anda juga dapat memanfaatkan layanan Chat Bersama Dokter untuk berkonsultasi secara online dan mendapatkan saran medis awal.
Diagnosis Glioblastoma
Diagnosis glioblastoma dimulai dengan tanya jawab mengenai kondisi pasien. Hal-hal yang ditanyakan dokter meliputi:
- Gejala yang dialami
- Penyakit yang sedang atau pernah diderita
- Prosedur medis yang pernah dijalani
- Obat-obatan yang sedang digunakan
Setelah itu, dokter akan melakukan pemeriksaan fisik menyeluruh, termasuk tes fungsi saraf. Melalui tes ini, dokter akan menilai kemampuan koordinasi gerakan, kekuatan otot, refleks otot, serta penglihatan dan pendengaran pasien.
Untuk menetapkan diagnosis glioblastoma, dokter akan melakukan pemeriksaan lanjutan, seperti:
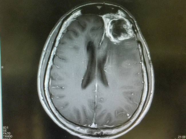
- MRI atau CT scan kepala untuk melihat lokasi dan ukuran glioblastoma
- Biopsi untuk memeriksa jaringan tumor
Pengobatan Glioblastoma
Pengobatan glioblastoma akan disesuaikan dengan kondisi kesehatan pasien dan ukuran sel kanker yang diangkat. Metode yang dapat dilakukan antara lain:
1. Operasi
Penanganan utama yang dapat dilakukan untuk glioblastoma adalah operasi dengan fluoresence. Pada prosedur ini, dokter akan mengangkat sel kanker sebanyak mungkin. Namun, sering kali glioblastoma tumbuh di antara jaringan yang sehat sehingga tidak bisa seluruhnya diangkat.
Pasien perlu menjalani perawatan tambahan setelah operasi, seperti terapi radiasi atau kemoterapi, untuk menghilangkan sel-sel kanker yang tersisa.
2. Radioterapi
Terapi radiasi atau radioterapi dilakukan dengan memancarkan sinar-X untuk membunuh sel kanker. Prosedur ini biasanya akan disarankan kepada pasien setelah operasi dan mungkin dikombinasikan dengan kemoterapi.
Jika kondisi pasien tidak memungkinkan untuk dioperasi, radioterapi dan kemoterapi dapat dijadikan sebagai pengobatan utama untuk glioblastoma.
3. Kemoterapi
Pasien akan diresepkan obat kemoterapi yang diminum, misalnya temozolomide, untuk menghentikan pertumbuhan sel-sel kanker. Obat kemoterapi biasanya diberikan sebagai perawatan lanjutan setelah operasi, atau bersamaan maupun seusai radioterapi.
Jika glioblastoma kambuh setelah pasien menyelesaikan kemoterapi, obat-obatan kemoterapi mungkin akan diberikan melalui infus.
4. Terapi target
Jika kemoterapi tidak lagi efektif untuk menangani glioblastoma, dokter akan menyarankan terapi target. Obat-obatan yang digunakan dalam terapi target dapat menghambat zat spesifik pada sel kanker yang berperan dalam pertumbuhan dan penyebarannya.
Selain itu, pasien juga akan diresepkan obat-obatan untuk membantu meredakan gejala-gejala glioblastoma. Obat-obatan yang diberikan antara lain:
- Dexamethasone, untuk mengobati edema dan peradangan di otak
- Levetiracetam, phenytoin, atau carbamazepine, untuk mengatasi kejang
Komplikasi Glioblastoma
Jika terlambat ditangani, glioblastoma bisa menyebabkan sejumlah komplikasi berikut:
- Sakit kepala yang sangat berat
- Kebutaan
- Hilangnya kemampuan mendengar
- Perubahan kepribadian yang drastis, misalnya menjadi galak atau kasar
- Hilang ingatan
- Kejang yang bertambah sering
Pengobatan glioblastoma juga dapat menimbulkan komplikasi, seperti:
- Sulit tidur
- Kanker kambuh lagi setelah diobati
- Infeksi
- Perdarahan
- Depresi
Pencegahan Glioblastoma
Karena penyebab glioblastoma belum diketahui secara pasti, cara terbaik untuk mencegah penyakit ini adalah dengan menjalani pola hidup sehat dan menghindari faktor risikonya. Beberapa cara yang bisa dilakukan adalah:
- Mengonsumsi makanan yang sehat dan bergizi seimbang
- Berolahraga secara rutin
- Tidak merokok dan sebisa mungkin menghindari paparan asap rokok
- Menggunakan alat pelindung diri yang sesuai standar jika bekerja di tempat yang tinggi radiasi
- Menjalani skrining rutin ke dokter jika menderita kondisi yang meningkatkan risiko terkena glioblastoma