Memahami cara membersihkan karang gigi yang benar sangat diperlukan agar gigi terbebas dari karang gigi. Selain itu, Anda juga dianjurkan untuk selalu menjaga kebersihan dan kesehatan gigi untuk mencegahnya muncul kembali.
Karang gigi bisa menjadi masalah pada gigi yang umum terjadi. Karang gigi terbentuk ketika bakteri dan sisa makanan menempel di gigi lalu mengeras. Jika terlalu lama dibiarkan tanpa penanganan, karang gigi bisa menyebabkan bau mulut, gigi berlubang, radang gusi, hingga gigi copot.

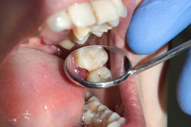
Cara Membersihkan Karang Gigi
Karang gigi dapat dikenali dari adanya lapisan kotoran berwana kuning atau coklat di antara gigi atau di gigi bagian belakang. Untuk membersihkan karang gigi, Anda harus pergi ke dokter gigi.
Dokter gigi akan melakukan scaling gigi sebagai cara membersihkan karang gigi. Dalam prosedur ini, seluruh karang gigi akan dibersihkan menggunakan alat pengikis (scaler).
Jika jumlah karang gigi tergolong banyak hingga menyebabkan penyakit gusi, dokter gigi akan merekomendasikan pembersihan mendalam (deep cleaning) dengan menambahkan prosedur root planing.
Pada prosedur ini, dokter gigi akan meratakan atau menghaluskan permukaan kasar pada akar gigi. Tujuannya untuk membantu gusi menempel kembali ke gigi Anda.
Cara membersihkan karang gigi ini memakan waktu sekitar 15–45 menit, tergantung pada kondisi dan banyaknya karang gigi yang dibersihkan. Selain itu, mungkin dibutuhkan beberapa kali kunjungan ke dokter gigi untuk benar-benar membersihkan karang gigi.
Mencegah Karang Gigi
Satu-satunya cara membersihkan karang gigi yang terbaik adalah dengan pergi ke dokter gigi. Namun, Anda bisa mencegah karang gigi terbentuk dan menumpuk dengan menjaga kebersihan dan kesehatan gigi.
Beberapa cara yang bisa dilakukan untuk mencegah karang gigi antara lain:
- Menggosok gigi dua kali sehari, yaitu setelah makan dan sebelum tidur, masing-masing selama dua menit
- Menggunakan pasta gigi mengandung fluoride untuk membantu memperbaiki lapisan gigi yang rusak
- Menggunakan benang gigi setelah sikat gigi untuk membersihkan sisa makanan di sela-sela gigi
- Berkumur dengan obat kumur (mouthwash) antiseptik untuk membantu membunuh bakteri di mulut
- Mengurangi konsumsi makanan dan minuman manis
- Berhenti merokok
- Pergi ke dokter gigi 6 bulan sekali untuk memeriksa kondisi kesehatan gigi
Tidak ada cara membersihkan karang gigi selain dengan prosedur scaling. Berbagai cara alami yang diklaim ampuh membersihkan karang gigi belum terbukti efektivitasnya. Jika Anda memiliki karang gigi, jangan ragu untuk pergi ke dokter gigi agar mendapatkan penanganan yang tepat.