Operasi amandel (tonsilektomi) adalah prosedur untuk mengangkat amandel. Dokter dapat melakukan tindakan ini menggunakan pisau bedah atau dengan bedah laser.
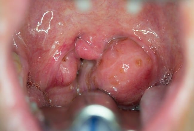
Amandel (tonsil) adalah dua kelenjar kecil yang masing-masing berada di sisi kiri dan kanan tenggorokan. Amandel berfungsi untuk mencegah infeksi, walau terkadang kelenjar ini juga bisa terinfeksi.

Operasi amandel umumnya dilakukan untuk mengatasi radang amandel (tonsilitis) atau pembengkakan pada amandel. Perlu diketahui, tonsilektomi tidak akan meningkatkan risiko seseorang terserang infeksi.
Tujuan dan Indikasi Operasi Amandel
Tujuan utama operasi amandel adalah untuk mengobati radang amandel yang telah berlangsung lama (kronis), sering kambuh, menimbulkan kejang demam, dan tidak sembuh dengan antibiotik.
Selain radang amandel, operasi amandel juga dapat dilakukan untuk mengatasi beberapa kondisi berikut:
- Perdarahan pada amandel
- Bau mulut akibat radang amandel yang tidak sembuh dengan obat-obatan
- Pembengkakan amandel yang menyebabkan sulit menelan (disfagia), gangguan pernapasan, sleep apnea, sering mendengkur, serta komplikasi penyakit jantung dan paru-paru
- Abses peritonsil, yaitu infeksi bakteri yang menyebabkan munculnya kumpulan nanah (abses) di amandel
- Batu amandel yang parah atau sering kambuh
- Pembesaran amandel yang dicurigai sebagai kanker
Peringatan dan Larangan Operasi Amandel
Sebelum menjalani operasi amandel, beri tahu dokter mengenai obat, produk herbal, atau suplemen, yang sedang dikonsumsi. Pasalnya, penggunaan obat atau suplemen tertentu dikhawatirkan bisa menghambat proses operasi.
Perlu diketahui, operasi amandel tidak disarankan kepada pasien dengan kondisi berikut:
Sebelum Operasi Amandel
Pasien perlu berkonsultasi dengan dokter sebelum menjalani operasi amandel. Pada sesi konsultasi, dokter akan menanyakan jenis obat apa saja yang sedang digunakan, terutama aspirin, ibuprofen, dan naproxen.
Dokter juga akan bertanya apakah pasien atau keluarganya memiliki riwayat gangguan pembekuan darah, dan riwayat alergi pada obat bius atau obat-obatan lain.
Setelah sesi konsultasi, dokter akan menyarankan pasien melakukan beberapa hal berikut:
- Mengurangi dosis atau menghentikan konsumsi obat-obatan untuk sementara
- Meminta keluarga atau teman untuk menemani dan mengantar pulang setelah operasi
- Berpuasa sekitar 8 jam sebelum operasi
Prosedur Operasi Amandel
Dokter akan mengawali operasi amandel dengan pemberian bius total. Hal ini agar pasien tertidur dan tidak merasakan sakit selama operasi. Setelah obat bius bekerja, dokter akan membuka mulut pasien untuk mengangkat amandel.
Pengangkatan amandel bisa dilakukan dengan berbagai teknik, antara lain:
- Memotong amandel menggunakan pisau bedah atau disebut juga dengan cold knife (steel) surgery
- Menghancurkan amandel dan menghentikan perdarahan menggunakan energi panas atau electrocautery (diathermy)
- Menghancurkan amandel menggunakan suhu dingin atau disebut juga dengan coblation (radiofrequency ablation)
- Memotong amandel menggunakan energi laser dan gelombang suara
Keseluruhan proses operasi amandel berlangsung sekitar 20–30 menit. Setelah itu, pasien akan dibawa ke ruang pemulihan.
Setelah Operasi Amandel
Setelah menjalani operasi amandel, pasien akan ditempatkan di ruang pemantauan hingga efek obat bius menghilang. Dokter juga akan memantau tekanan darah dan detak jantung pasien secara berkala.
Umumnya, pasien diperbolehkan untuk pulang ke rumah pada hari yang sama jika kondisinya sudah stabil. Namun, pada beberapa kasus, pasien perlu menjalani rawat inap sampai benar-benar pulih.
Perlu diketahui, pasien mungkin mengalami sejumlah gejala setelah operasi, tetapi hal ini normal. Gejala tersebut bisa berlangsung sampai beberapa minggu. Berikut adalah gejala yang dapat muncul usai operasi amandel:
- Sakit tenggorokan
- Nyeri di telinga, leher, dan rahang
- Gangguan tidur dan rewel pada pasien anak-anak
- Lidah membengkak
- Mual
- Demam
- Bau mulut
Untuk meredakan gejala tersebut, dokter akan menyarankan pasien melakukan upaya berikut:
- Menggunakan obat-obatan yang diresepkan oleh dokter
- Mencegah dehidrasi dengan banyak minum air putih
- Mengonsumsi makanan yang mudah ditelan, seperti ice cream dan puding, serta menghindari makanan asam, pedas, dan bertekstur keras
- Menjalani bed rest atau tirah baring, dan tidak melakukan aktivitas berat sampai 2 minggu setelah operasi
Komplikasi Operasi Amandel
Operasi amandel aman untuk dijalani. Kendati demikian, prosedur ini tetap berisiko menimbulkan komplikasi, antara lain:
- Reaksi alergi terhadap obat bius, seperti bengkak di kelopak mata, wajah, atau bibir, sakit kepala, sesak napas, ruam, atau sakit perut parah
- Pembengkakan di lidah dan area langit-langit mulut yang dapat menyebabkan gangguan pernapasan
- Perdarahan saat operasi atau dalam masa pemulihan
- Kerusakan pada gigi dan rahang
- Infeksi luka operasi
Segera ke dokter jika mengalami gejala-gejala berikut setelah menjalani operasi amandel:
- Demam lebih dari 38°C
- Mual atau muntah, terutama setelah minum obat
- Tenggorokan sangat sakit meski sudah minum obat pereda nyeri
- Dehidrasi, yang ditandai dengan urine berwarna pekat, mulut kering, pusing, dan mudah lelah
- Sesak napas
- Muntah darah