Pemeriksaan x-ray atau rontgen adalah salah satu teknik pencitraan medis menggunakan radiasi sinar X untuk melihat gambar organ dalam tubuh. Prosedur ini merupakan bagian dari pemeriksaan penunjang untuk membantu dokter dalam menentukan diagnosis.
Pemeriksaan x-ray umumnya dilakukan untuk melihat kondisi tulang dan sendi, misalnya pada pemeriksaan patah tulang, radang sendi, pembusukan gigi, osteoporosis, atau bahkan kanker tulang.

Namun, terkadang pemeriksaan x-ray juga digunakan untuk mendeteksi masalah kesehatan pada jaringan lunak dan organ dalam tubuh. Oleh karena itu, x-ray juga dapat dimanfaatkan untuk memeriksa paru-paru, payudara, jantung, dan saluran kemih maupun pencernaan. Rontgen juga sering dilakukan pada bagian dada dan perut.
Selain foto Rontgen, sinar x-ray juga digunakan dalam prosedur pemeriksaan CT scan dan fluoroskopi.
Bagaimana Cara Kerja Pemeriksaan X-Ray?
Saat pemeriksaan x-ray dilakukan, mesin akan mengirimkan gelombang radiasi sinar X secara singkat untuk memindai organ dalam tubuh.
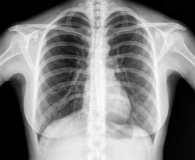
Radiasi yang diserap oleh setiap bagian tubuh bisa berbeda-beda, tergantung dari kepadatan bagiannya. Hal inilah yang menyebabkan perbedaan warna dari setiap bagian tubuh pada hasil foto x-ray.
Sebagian besar partikel x-ray tidak dapat menembus logam atau bagian tubuh yang padat, seperti tulang. Oleh karena itu, tulang atau logam akan berwarna putih pada hasil foto x-ray. Tumor juga biasanya akan tampak berwarna putih pada hasil foto x-ray.
Jaringan lunak, seperti darah, kulit, lemak, dan otot, akan berwarna abu-abu pada gambar pemeriksaan x-ray. Sementara itu, warna hitam menandakan x-ray mengenai udara atau gas.
Apakah X-Ray Aman Dilakukan?
Pemeriksaan x-ray memang menggunakan radiasi. Namun, jumlah dan tingkat paparan radiasi yang digunakan dalam pemeriksaan x-ray sangat sedikit, sehingga relatif aman untuk orang dewasa.
Meski demikian, terlalu sering menjalani pemeriksaan yang menggunakan sinar-X berpotensi merusak DNA di dalam sel tubuh. Hal ini dapat meningkatkan risiko terjadinya kanker di kemudian hari, meski peningkatan risikonya terbilang rendah.
Namun, risiko terjadinya kanker diketahui akan lebih tinggi pada sebagian pasien dengan kondisi tertentu, yaitu:
- Pasien yang sering melakukan pencitraan medis dengan dosis radiasi tinggi
- Pasien anak-anak atau berusia muda
- Pasien berjenis kelamin wanita
- Pasien dengan kondisi genetik tertentu yang membuat sel-sel tubuhnya lebih rentan mengalami kerusakan saat terpapar radiasi
Tak hanya itu, pemeriksaan x-ray juga diketahui memiliki efek samping pada ibu hamil, terlebih bila x-ray dilakukan pada bagian tubuh yang berdekatan dengan rahim dan janin.
Pada masa awal kehamilan, paparan radiasi x-ray dapat meningkatkan risiko terjadinya keguguran dan bayi terlahir cacat. Sementara pemeriksaan x-ray yang dilakukan pada usia kandungan di atas 2 bulan, akan berisiko menyebabkan bayi lahir dengan masalah intelektual.
Oleh karena itu, ibu hamil sebaiknya tidak menjalani pemeriksaan x-ray, kecuali dalam kondisi darurat disertai dengan izin dokter.
Selain itu, zat kontras yang terkadang disuntikkan ke dalam tubuh pasien untuk meningkatkan kualitas foto x-ray juga memiliki beberapa efek samping. Pada sebagian orang, zat kontras dapat menyebabkan pusing, mual, kulit terasa gatal, dan napas bau logam.
Tak hanya itu, dalam kasus yang relatif jarang terjadi, zat kontras juga bisa menyebabkan efek samping yang lebih serius berupa syok anafilaksis, yang ditandai dengan penurunan tekanan darah, gagal ginjal akut, bahkan henti jantung.
Jika Anda menjalani pemeriksaan x-ray dan diberikan zat kontras oleh dokter, Anda disarankan minum banyak air setelah selesai melakukan pemeriksaan. Air diketahui dapat membantu mengeluarkan zat kontras dari dalam tubuh dengan lebih cepat.
Namun, Anda sebaiknya memeriksakan diri ke dokter bila mengalami reaksi alergi, seperti ruam dan gatal pada kulit, sakit kepala, mual dan muntah, hingga sesak napas, setelah menjalani pemeriksaan x-ray dengan zat kontras.