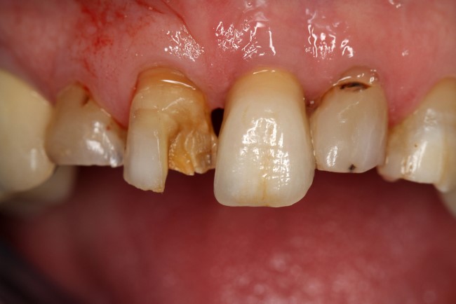
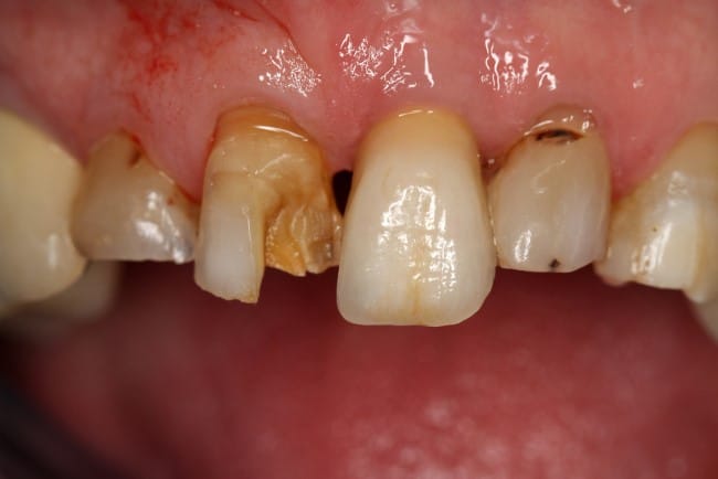
Penyebab gigi keropos di usia muda bisa karena kebiasaan merokok, konsumsi makanan atau minuman tertentu, serta teknik menyikat gigi yang salah. Jika diabaikan, gigi keropos bisa menurunkan kualitas hidup dan memicu masalah kesehatan lain yang lebih serius.
Banyak orang mengira gigi keropos hanya terjadi pada usia lanjut. Padahal, penyebab gigi keropos di usia muda semakin sering ditemukan karena gaya hidup yang buruk dan pola makan yang tidak tepat.

Selain itu, kurangnya pemahaman mengenai pencegahan dan pemeriksaan rutin sering membuat masalah ini baru disadari ketika kondisinya sudah parah. Mengetahui penyebab gigi keropos di usia muda bisa menjadi langkah awal untuk melindungi kesehatan gigi sejak dini.
Penyebab Gigi Keropos di Usia Muda
Berikut ini sejumlah penyebab gigi keropos di usia muda yang perlu diperhatikan:
1. Konsumsi makanan dan minuman manis berlebihan
Mengonsumsi makanan dan minuman manis secara berlebihan, seperti permen, cokelat, atau kue, bisa menyebabkan penumpukan gula di permukaan gigi. Bakteri di dalam mulut bisa memanfaatkan gula tersebut untuk menghasilkan asam.
Jika kebiasaan ini berlangsung terus-menerus, asam akan mengikis lapisan pelindung gigi (email), sehingga gigi mudah keropos dan berlubang.
2. Sering mengonsumsi makanan atau minuman asam
Terlalu sering mengonsumsi makanan atau minuman asam juga termasuk penyebab gigi keropos di usia muda. Minuman bersoda, minuman berenergi, dan jus kemasan mengandung asam yang cukup tinggi. Asam ini dapat melarutkan email gigi lebih cepat, apalagi jika dikonsumsi terlalu sering.
Selain minuman, beberapa makanan asam, seperti acar dan buah asam, juga bisa memberikan efek serupa. Jika gigi sering terpapar asam, lapisan pelindungnya akan melemah sehingga gigi menjadi lebih rapuh.
3. Kebiasan merokok dan mengonsumsi alkohol
Zat kimia dalam rokok dapat menurunkan produksi air liur dan memperburuk kesehatan mulut. Padahal, air liur dibutuhkan untuk “membilas” sisa makanan dan menetralkan asam di mulut.
Selain itu, konsumsi alkohol juga dapat menyebabkan mulut kering, menjadikan lingkungan mulut lebih asam, serta membuat gigi lebih rentan keropos. Kedua kebiasaan ini juga meningkatkan risiko terjadinya masalah gusi dan bau mulut.
4. Kebiasaan menyikat gigi yang kurang tepat
Menyikat gigi terlalu jarang atau tidak membersihkan seluruh permukaan gigi membuat plak dan sisa makanan menempel lebih lama. Selain itu, menggunakan sikat gigi berbulu keras atau menyikat dengan tekanan berlebihan justru bisa mengikis email gigi.
Teknik menyikat yang tidak benar juga sering membuat sisa makanan tertinggal di sela-sela gigi sehingga bisa menjadi penyebab gigi keropos di usia muda.
5. Jarang melakukan pemeriksaan gigi
Pemeriksaan gigi secara rutin ke dokter penting untuk mendeteksi adanya kerusakan kecil pada gigi yang belum terasa gejalanya. Tanpa pemeriksaan rutin, kerusakan pada email gigi bisa berkembang menjadi lubang yang semakin besar dan berujung pada gigi keropos.
6. Bulimia
Kondisi yang menyebabkan gangguan makan, seperti bulimia, juga bisa menjadi penyebab gigi keropos di usia muda. Kondisi ini ditandai dengan kebiasaan muntah berulang setelah makan.
Saat muntah, asam lambung naik ke rongga mulut dan berulang kali mengenai gigi. Paparan asam lambung ini sangat berbahaya bagi email gigi karena bisa terkikis dengan cepat, sehingga gigi menjadi tipis, rapuh, dan mudah keropos.
7. Kondisi medis tertentu
Beberapa kondisi medis, misalnya diabetes, dapat menurunkan daya tahan tubuh terhadap infeksi, termasuk infeksi di gigi dan gusi. Diabetes juga dapat menyebabkan mulut lebih kering, sehingga proses pembersihan alami oleh air liur berkurang. Akibatnya, bakteri lebih mudah berkembang dan risiko gigi keropos pun meningkat.
Selain itu, pada sebagian orang, penyakit asam lambung (GERD) yang tidak terkontrol juga bisa menyebabkan gigi mudah keropos akibat paparan asam.
Cara Mencegah Gigi Keropos di Usia Muda
Komplikasi gigi keropos di usia muda tidak hanya mengganggu penampilan, tetapi juga menimbulkan infeksi atau abses gigi, serta gangguan makan. Bahkan, infeksi pada gigi dan mulut yang dibiarkan tanpa penanganan juga bisa meningkatkan risiko penyakit jantung, stroke, hingga infeksi paru.
Oleh karena itu, penting untuk mencegah gigi keropos sedini mungkin. Karena penyebab gigi keropos di usia muda berkaitan dengan pola hidup, berikut langkah pencegahan yang dapat dilakukan:
- Sikat gigi minimal dua kali sehari, terutama sebelum tidur malam menggunakan pasta gigi berfluoride. Pastikan Anda telah menerapkan teknik menyikat gigi yang benar.
- Batasi minuman bersoda, permen manis, dan camilan tinggi gula, serta pilih air putih atau susu sebagai minuman utama.
- Hentikan kebiasaan merokok dan konsumsi alkohol untuk mencegah gigi cepat keropos.
- Konsumsi makanan tinggi kalsium, vitamin D, serta buah dan sayuran untuk memperkuat gigi.
- Kunjungi dokter gigi setidaknya setiap 6 bulan agar kondisi gigi dan mulut tetap terpantau, sekaligus mendeteksi dini apabila muncul gejala atau penyebab gigi keropos di usia muda.
Mencegah gigi keropos memang jauh lebih mudah dibandingkan mengobatinya. Dengan memahami penyebab gigi keropos di usia muda dan menerapkan kebiasaan sehat, Anda bisa menjaga kesehatan gigi serta kualitas hidup tetap optimal.
Jika Anda sudah merasakan perubahan pada gigi, seperti gigi terasa tipis, cepat berlubang, atau sering sensitif, jangan tunda untuk berkonsultasi dengan dokter melalui Chat Bersama Dokter. Penanganan sejak awal dapat mencegah kerusakan bertambah parah.