Tumor gusi merupakan pertumbuhan jaringan gusi yang berlebihan di sekitar gigi. Penyebabnya beragam, tetapi lebih sering terjadi akibat efek samping penggunaan obat-obatan. Jika tidak diobati, tumor gusi dapat berkembang menjadi kanker.
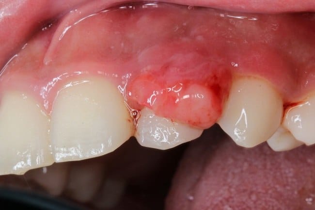
Tumor gusi biasanya ditandai dengan rasa sakit, kemerahan, dan perdarahan pada gusi. Di samping itu, tumor gusi juga bisa menimbulkan gejala lain, seperti radang gusi, bau mulut, dan penumpukan plak di gigi. Dalam kasus yang parah, tumor gusi bahkan dapat menutupi permukaan beberapa gigi.

Penyebab Tumor Gusi
Berikut ini adalah beberapa penyebab tumor gusi yang sebaiknya perlu Anda waspadai:
1. Radang gusi
Tumor gusi kebanyakan disebabkan oleh peradangan. Salah satu pemicu terjadinya peradangan pada gusi adalah penumpukan plak dan bakteri di gigi akibat kebersihan mulut yang tidak terjaga. Peradangan akan membuat gusi menjadi nyeri, kemerahan, dan berdarah.
2. Efek samping penggunaan obat-obatan
Faktor yang satu ini juga cukup sering menjadi penyebab tumor gusi. Obat-obatan seperti fenitoin (antikonvulsan), siklosporin (agen imunosupresif), dan antagonis kalsium (antihipertensi) diketahui memiliki efek samping yang dapat menyebabkan pertumbuhan jaringan gusi berlebihan.
Jika Anda mengonsumsi salah satu dari obat-obatan tersebut dan merasakan keluhan tumor gusi seperti yang telah disebutkan di atas, segera hentikan penggunaannya. Jangan lupa pula untuk berkonsultasi dengan dokter yang meresepkan obat-obatan tersebut untuk mendapatkan saran pengobatan pengganti.
3. Kondisi medis tertentu
Kondisi medis tertentu, seperti kehamilan, ketidakseimbangan hormon, gangguan metabolik, dan kekurangan vitamin, dapat memicu terjadinya tumor gigi. Selain itu, ada juga beberapa penyakit yang dapat menyebabkan pertumbuhan jaringan gusi berlebih, antara lain:
- HIV
- Diabetes
- Leukemia
- Anemia
- Penyakit Crohn
- Limfoma
Namun, tumor gusi akibat kondisi medis ini biasanya akan membaik jika penyebab yang mendasarinya telah teratasi. Apabila disebabkan oleh kehamilan, tumor gusi umumnya akan mereda setelah proses persalinan.
4. Hereditary gingival fibromatosis (HGF)
HGF merupakan pembesaran gusi yang tergolong langka dan biasanya dimulai pada masa kanak-kanak. Penyebab terjadinya HGF adalah produksi kolagen yang berlebihan. Dalam beberapa kasus HGF, tumor gusi akan menutupi sebagian besar atau seluruh permukaan gigi.
Selain beberapa penyebab di atas, penggunaan produk tembakau atau sering mengonsumsi minuman beralkohol dalam jumlah banyak juga dapat meningkatkan risiko terjadinya tumor gusi.
Pengobatan Tumor Gusi
Pengobatan tumor gusi perlu disesuaikan dengan penyebabnya. Jika tumor gusi disebabkan oleh kebersihan gigi dan mulut yang buruk, dokter mungkin akan menyarankan Anda untuk rutin menyikat gigi dan menggunakan benang gigi guna membersihkan sisa kotoran di sela-sela gigi.
Namun, jika tumor gusi disebabkan oleh efek samping obat-obatan atau penyakit tertentu, dokter bisa merekomendasikan obat pengganti maupun prosedur pembedahan.
Berikut ini adalah beberapa prosedur pembedahan yang umum dilakukan untuk menghilangkan tumor gusi:
- Eksisi laser, yaitu prosedur untuk mengangkat jaringan gusi yang meradang dengan teknik laser
- Electrosurgery, yaitu prosedur untuk memotong atau mengangkat tumor gusi menggunakan arus listrik
- Bedah flap periodontal, yaitu prosedur pemisahan gusi dengan permukaan jaringan di bawahnya untuk menghilangkan jaringan gusi yang meradang atau membersihkan plak gigi
- Gingivektomi, yaitu prosedur menghilangkan atau memotong bagian gusi yang terkena tumor
Cara Mencegah Tumor Gusi
Meski banyak kasus tumor gusi yang disebabkan oleh efek samping penggunaan obat-obatan dan kondisi medis tertentu, Anda tetap bisa melakukan langkah pencegahan guna menurunkan risiko terjadinya pertumbuhan jaringan gusi berlebihan.
Langkah pencegahan yang mudah dilakukan adalah menjaga kebersihan mulut. Tak hanya mencegah tumor gusi, kebersihan mulut erat kaitannya dengan kesehatan gigi dan mulut secara keseluruhan.
Anda dianjurkan untuk menggosok gigi dengan pasta gigi yang mengandung fluoride dan membersihkan sela-sela gigi menggunakan benang gigi setiap selesai makan.
Selain itu, memeriksakan gigi ke dokter gigi setiap 6 bulan sekali juga penting untuk dilakukan. Pemeriksaan gigi rutin juga sangat dianjurkan jika Anda memiliki kondisi medis tertentu, seperti gangguan metabolik, ketidakseimbangan hormon, penyakit diabetes, atau HIV.
Tumor gusi merupakan gangguan pertumbuhan jaringan gusi yang memerlukan pemeriksaan dan penanganan oleh dokter. Apabila tidak diobati, tumor gusi dapat berkembang menjadi kanker gusi atau gangguan mulut lainnya.
Oleh karena itu, jika gusi Anda terasa nyeri, kemerahan, dan berdarah, sebaiknya periksakan diri ke dokter untuk mendapatkan diagnosis dan penanganan yang sesuai.