Gigi bertumpuk kerap menjadi keluhan yang dialami banyak anak hingga dewasa di Indonesia. Tak hanya mengganggu penampilan, kondisi ini juga dapat berdampak pada kesehatan mulut, fungsi mengunyah, bahkan rasa percaya diri. Supaya kesehatan gigi dan mulut tetap terjaga, penting untuk memahami penyebab, risiko, serta cara merapikan gigi bertumpuk.
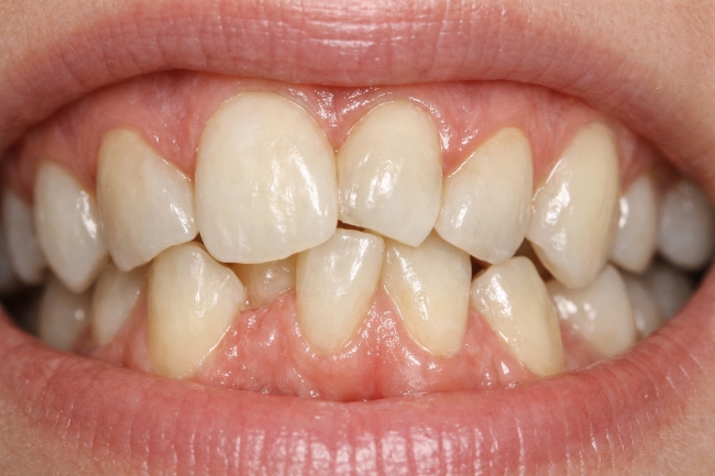
Gigi bertumpuk terjadi ketika gigi tumbuh saling tumpang tindih, tidak sejajar, atau saling berdesakan di dalam rongga mulut. Kondisi ini bisa ringan hingga berat dan sering membuat penderitanya kesulitan membersihkan sela-sela gigi secara optimal. Akibatnya, risiko terjadinya masalah kesehatan gigi dan mulut pun meningkat.

Penyebab Gigi Bertumpuk
Gigi bertumpuk umumnya disebabkan kombinasi beberapa faktor yang memengaruhi pertumbuhan gigi dan rahang. Berikut beberapa hal yang sering menjadi pemicunya:
1. Genetik
Banyak kasus gigi bertumpuk dipengaruhi oleh faktor turunan atau genetik dari keluarga. Hal ini karena gen orang tua sangat berperan dalam menentukan ukuran rahang serta jumlah gigi sehingga apabila keduanya tidak proporsional, misal rahang kecil tapi gigi besar atau jumlah gigi banyak, maka sisa ruang di rahang tidak cukup untuk menampung seluruh gigi dengan posisi sejajar. Akibatnya, gigi bertumpuk pun terjadi.
2. Ruang rahang sempit
Ukuran rahang yang kecil atau sempit membuat gigi tidak mendapat cukup ruang untuk tumbuh. Akibatnya, gigi baru yang tumbuh akan mencari celah dan seringkali muncul di atas, di belakang, atau di depan gigi yang sudah ada sehingga gigi bertumpuk dengan gigi lain.
Kondisi ini biasa terjadi pada masa pertumbuhan remaja, ketika rahang belum berkembang sempurna tetapi gigi tetap mulai tumbuh.
3. Gigi susu terlambat tanggal
Idealnya, gigi susu akan tanggal secara bertahap seiring tumbuhnya gigi permanen. Namun, pada beberapa orang, gigi susu terkadang bisa tidak kunjung lepas meski gigi permanen sudah mulai tumbuh. Hal ini menyebabkan gigi permanen tumbuh dalam posisi miring atau bahkan bertumpuk karena ruang yang seharusnya tersedia telah terisi oleh gigi susu.
4. Kebiasaan buruk di masa kecil
Kebiasaan, seperti mengisap jempol, menggigit ujung pensil, atau penggunaan dot terlalu lama bisa memengaruhi perkembangan rahang dan posisi gigi. Pasalnya, tekanan berulang yang terjadi pada gigi atau rahang akibat kebiasaan ini dapat membuat gigi bergeser dari posisi semestinya, bahkan menyebabkan pertumbuhan rahang atas dan bawah menjadi tidak seimbang. Akibatnya, gigi bertumpuk pun terjadi.
5. Hyperdontia
Hyperdontia adalah kondisi ketika gigi tumbuh melebihi jumlah normalnya. Nah, gigi tambahan ini biasanya tumbuh tidak pada posisi yang wajar sehingga dapat mendesak gigi-gigi lain keluar dari jalurnya. Akibatnya, gigi tumbuh tumpang tindih dan susunannya tidak teratur.
6. Tumbuhnya gigi bungsu
Gigi bungsu biasanya tumbuh pada usia remaja akhir hingga dewasa muda. Sebagai gigi yang keluar paling terakhir, terkadang gigi bungsu tidak dapat tumbuh sebagai mestinya karena ruang di bagian belakang rahang sering kali terbatas. Akibatnya, gigi bungsu yang tumbuh biasanya akan mendorong gigi di depannya sehingga menyebabkan tumpukan atau pergeseran susunan gigi secara keseluruhan.
7. Kehilangan gigi dini
Kehilangan gigi, misalnya akibat pencabutan dini karena gigi susu berlubang parah dapat membuat gigi-gigi sebelahnya bergeser mengisi ruang kosong. Akibatnya, susunan gigi menjadi tidak rapi dan sebagian gigi bisa tumbuh bertumpuk atau miring.
Dampak Gigi Bertumpuk terhadap Kesehatan Mulut
Tidak hanya soal estetika, gigi bertumpuk juga dapat mempengaruhi kesehatan mulut dan gigi jangka panjang. Berikut beberapa dampak yang bisa terjadi:
1. Sulit menjaga kebersihan gigi
Sela-sela gigi yang sangat rapat karena gigi bertumpuk membuat sikat gigi maupun benang gigi sulit menjangkau dan membersihkan seluruh permukaan gigi. Akibatnya, sisa makanan jadi menumpuk di sela-sela tersebut, sehingga plak dan bakteri pun berkembang biak lebih cepat.
2. Risiko gigi berlubang dan penyakit gusi meningkat
Sisa makanan dan plak yang menumpuk di gigi bertumpuk menjadi tempat ideal bagi bakteri penyebab masalah gigi dan gusi untuk berkembang biak. Nah, ketika hal itu terjadi, bakteri tersebut akan menghasilkan zat asam yang bisa mengikis enamel atau lapisan pelindung gigi sehingga lambat laun menimbulkan lubang di gigi.
Selain itu, plak yang tidak dibersihkan dapat menebal dan mengeras menjadi karang gigi, sehingga memicu terjadinya peradangan pada gusi (gingivitis) dan bila dibiarkan bisa berkembang menjadi periodontitis.
3. Gangguan mengunyah dan bicara
Gigi bertumpuk dapat menyebabkan makanan tidak terkunyah dengan sempurna, sehingga pencernaan terganggu. Selain itu, posisi gigi yang tidak rapi kadang mengganggu pelafalan huruf atau kata tertentu, misalnya saat mengucapkan huruf "s" atau "t".
4. Nyeri dan gangguan rahang
Tumpukan atau desakan antargigi bisa memberikan tekanan tidak merata pada rahang dan sendi rahang (TMJ). Hal ini berisiko menimbulkan rasa nyeri, pegal, hingga terdengar suara klik pada rahang saat membuka atau menutup mulut.
5. Penurunan kepercayaan diri
Penampilan gigi yang berantakan kerap membuat penderita enggan tersenyum atau berbicara di depan umum karena khawatir menjadi pusat perhatian. Hal ini membuat kepercayaan diri bisa menurun dan berpengaruh pada interaksi sosial, terutama pada anak dan remaja.
Cara Merapikan dan Mengatasi Gigi Bertumpuk
Pilihan perawatan gigi bertumpuk sangat bergantung pada tingkat keparahan dan kondisi rahang. Berikut ini adalah beberapa solusi medis yang umum disarankan dokter gigi untuk merapikan atau mengatasi gigi bertumpuk:
1. Pemasangan kawat gigi
Kawat gigi atau behel adalah metode paling umum dan efektif untuk merapikan gigi bertumpuk. Selama pemakaian behel, pasien akan mendapat kontrol rutin untuk menyesuaikan tekanan hingga gigi berpindah ke posisi ideal. Proses ini bisa memakan waktu berbulan-bulan hingga beberapa tahun, tergantung tingkat keparahan gigi yang bertumpuk.
2. Clear aligner
Clear aligner seperti invisalign merupakan alat pelurus gigi berbahan plastik transparan yang dapat dilepas-pasang. Aligner dibuat khusus berdasarkan cetakan gigi pasien, sehingga nyaman dipakai sehari-hari tanpa mengganggu penampilan. Aligner umumnya diperuntukkan bagi kasus gigi bertumpuk ringan sampai sedang, dan hanya efektif jika dipakai secara konsisten sesuai anjuran dokter.
3. Pencabutan gigi
Pada gigi bertumpuk parah dengan ruang rahang sangat terbatas, dokter gigi bisa merekomendasikan pencabutan satu atau beberapa gigi. Tujuannya adalah untuk membuka ruang rahang agar susunan gigi lainnya dapat digeser dengan perawatan ortodonti, seperti behel atau aligner. Prosedur pencabutan gigi ini biasanya dilakukan dengan pertimbangan matang dan perencanaan yang cermat untuk meminimalkan risiko komplikasi.
4. Operasi rahang
Jika masalah utama terletak pada struktur atau posisi rahang yang tidak normal, misal rahang atas dan bawah tidak sejajar, tindakan operasi rahang (ortognatik) bisa menjadi solusi. Prosedur ortognatik dilakukan oleh dokter bedah mulut dan ortodontis untuk memperbaiki posisi rahang sekaligus merapikan susunan gigi. Operasi ini biasanya direkomendasikan pada kasus berat atau setelah metode non-bedah terbukti kurang efektif.
Setiap pilihan perawatan memiliki kelebihan, kekurangan, serta risiko masing-masing. Oleh karena itu, konsultasi dengan dokter gigi atau ortodontis sangat diperlukan untuk menentukan langkah yang paling sesuai dengan kebutuhan atau kondisi gigi bertumpuk yang Anda alami.
Tips Mencegah Gigi Bertumpuk Sejak Dini
Kondisi gigi bertumpuk bisa dicegah sejak usia dini. Berikut ini adalah beberapa kebiasaan sehat yang dapat membantu menurunkan risiko gigi bertumpuk pada anak:
- Jaga kebersihan dan kesehatan gigi susu agar tidak tanggal sebelum waktunya.
- Hindari kebiasaan mengisap jempol atau penggunaan dot secara berlebihan dalam jangka panjang.
- Rutin periksa gigi ke dokter sejak usia 1 tahun.
- Pastikan asupan kalsium dan vitamin cukup guna menunjang pertumbuhan gigi dan tulang rahang.
Gigi bertumpuk bukan sekadar masalah estetika, tapi juga berpengaruh terhadap kesehatan dan kenyamanan sehari-hari, baik pada anak maupun dewasa. Dengan memahami penyebab, risiko, dan cara merapikan gigi bertumpuk yang sesuai, Anda dapat mengambil langkah proaktif demi menjaga kesehatan gigi dan mulut keluarga.
Jika Anda memiliki masalah gigi bertumpuk dan membutuhkan saran lebih lanjut terkait masalah gigi Anda tersebut, jangan segan untuk memeriksakannya ke dokter dengan memanfaatkan layanan chat atau booking dokter di aplikasi ALODOKTER.
Dengan begitu, dokter nantinya akan menentukan penyebab dan keparahan kondisi gigi bertumpuk Anda, baru kemudian menentukan langkah penanganan yang tepat.