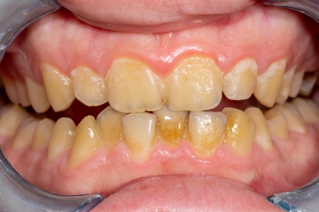
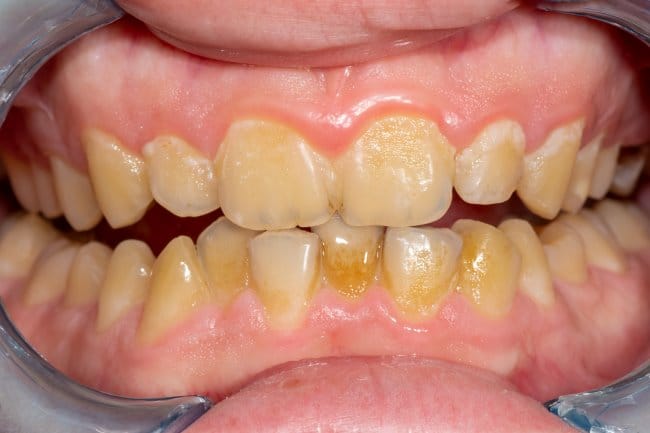
Plak gigi adalah lapisan bening dan lengket yang terbentuk dari kumpulan bakteri dan sisa makanan yang menempel di permukaan gigi. Plak gigi yang tidak rutin dibersihkan akan menjadi cikal bakal terbentuknya karang gigi sehingga menimbulkan berbagai masalah pada gigi dan mulut.
Plak gigi bisa muncul di permukaan gigi bagian depan maupun belakang, di sela-sela gigi, serta di sepanjang batas antara gigi dan gusi. Lapisan lengket ini juga dapat terbentuk di bawah gusi, tepatnya bagian akar gigi.

Terbentuknya plak di permukaan gigi merupakan hal yang alami dan wajar terjadi setiap hari. Hanya saja, plak gigi perlu dibersihkan secara teratur dan menyeluruh agar tidak menumpuk dan menyebabkan masalah, seperti gigi berlubang dan penyakit gusi.
Penyebab Plak Gigi
Plak gigi disebabkan oleh sisa-sisa makanan di gigi yang tidak segera dibersihkan atau malah dibiarkan dalam waktu yang lama. Plak gigi terbentuk ketika sisa-sisa makanan yang tertinggal di gigi bercampur dengan bakteri di rongga mulut.
Bakteri dalam plak berkembang biak dengan memakan gula atau pati yang terkandung pada sisa makanan. Selanjutnya, bakteri tersebut menghasilkan zat asam yang bisa mengikis enamel atau lapisan pelindung gigi sehingga lambat laun menimbulkan lubang di gigi.
Plak gigi yang jarang dibersihkan akan menebal dan mengeras menjadi karang gigi. Akibatnya, timbunan plak akan makin sulit dihilangkan hanya dengan menyikat gigi.
Faktor risiko plak gigi
Berikut adalah beberapa faktor yang meningkatkan risiko terbentuknya plak gigi:
- Jarang menggosok gigi
- Menyikat gigi secara asal-asalan sehingga masih ada sisa makanan yang menempel di celah gigi
- Tidak membersihkan mulut dengan obat kumur
- Mengonsumsi makanan atau minuman dengan kadar gula yang tinggi, seperti permen, kue, atau minuman bersoda
- Memakai kawat gigi sehingga proses pembersihan gigi kurang maksimal
- Kurang minum air putih
- Kebiasaan merokok atau mengunyah tembakau
- Memiliki kondisi mulut kering, yang biasanya dipicu oleh kondisi medis tertentu, seperti sindrom Sjögren atau diabetes
- Mengonsumsi obat yang dapat menyebabkan mulut kering, seperti antihistamin atau dekongestan
- Menjalani radioterapi pada pengobatan kanker di kepala atau leher
Gejala Plak Gigi
Awalnya, plak di gigi berwarna bening alias transparan. Apabila jarang dibersihkan, plak lama-kelamaan akan membuat gigi terlihat kuning, bahkan kecokelatan.
Berikut adalah tanda dan gejala adanya plak gigi:
- Permukaan gigi terasa kasar atau lengket saat tersentuh lidah
- Bau mulut atau halitosis
- Gusi bengkak dan kemerahan
- Gusi berdarah, terutama saat menyikat gigi
Kapan harus ke dokter
Plak gigi dapat terbentuk dan berkembang menjadi karang gigi tanpa disadari. Oleh karena itu, lakukan pemeriksaan gigi ke dokter gigi secara rutin meskipun tidak ada keluhan. Pemeriksaan gigi dan perawatan gigi yang dianjurkan adalah minimal 2 kali dalam setahun atau setiap 6 bulan sekali.
Plak yang menumpuk dan menjadi karang gigi dapat menyebabkan gigi berlubang dan peradangan pada gusi atau gingivitis. Temui dokter gigi jika timbul keluhan:
- Sakit gigi
- Gigi sensitif
- Ngilu atau nyeri saat mengonsumsi makanan atau minuman yang manis, dingin, atau panas
- Lubang yang terlihat jelas di gigi
- Gusi bengkak atau terasa nyeri
- Gusi berwarna merah kehitaman
- Gusi berdarah, terutama saat menyikat gigi
Berkonsultasilah ke dokter gigi jika Anda mengalami masalah bau mulut yang sudah berlangsung lama, atau bau mulut tidak juga hilang meski sudah menyikat gigi atau berkumur dengan mouthwash. Guna mendapatkan respons yang cepat, Anda dapat berkonsultasi melalui Chat Bersama Dokter.
Diagnosis Plak Gigi
Untuk mendiagnosis plak gigi, dokter akan melakukan tanya jawab dengan pasien. Pertanyaan yang akan diajukan meliputi:
- Keluhan yang dialami pasien
- Kebiasaan pasien dalam membersihkan gigi dan mulut, termasuk teknik dan seberapa sering menyikat gigi, pemakaian benang gigi, serta penggunaan obat kumur
- Pola makan pasien, terutama seberapa sering mengonsumsi makanan atau minuman manis
- Penggunaan obat-obat tertentu atau terapi yang sedang dijalani pasien
- Penyakit yang pernah atau sedang diderita pasien
Setelah sesi tanya jawab, dokter akan melakukan pemeriksaan pada mulut, gigi, dan gusi pasien guna mendeteksi tanda-tanda plak gigi secara langsung. Jika plak gigi sulit terlihat, dokter gigi dapat menggunakan bantuan berupa cairan pewarna khusus yang disebut dengan disclosing agent.
Disclosing agent akan dioleskan ke seluruh permukaan gigi. Plak kemudian menyerap pewarna tersebut sehingga berubah warna. Setelah plak terlihat lebih jelas, dokter bisa melakukan penanganan lebih menyeluruh.
Jika diperlukan, dokter dapat melakukan foto Rontgen gigi (orthopantomograph). Prosedur ini bertujuan untuk mendeteksi kerusakan pada jaringan gigi dan gusi, misalnya gigi berlubang.
Pengobatan Plak Gigi
Penanganan plak gigi bertujuan untuk menghilangkan plak yang sudah ada sekaligus mencegah terbentuknya plak di kemudian hari. Cara menghilangkan plak gigi dapat dilakukan secara mandiri, atau dengan prosedur yang dilakukan oleh dokter gigi.
Perawatan mandiri
Upaya mandiri yang bisa dilakukan untuk menghilangkan plak gigi antara lain:
- Menyikat gigi dengan cara yang tepat, minimal 2 kali sehari dengan pasta gigi yang mengandung fluoride
- Menggunakan obat kumur yang mengandung antiseptik, seperti chlorhexidine, setiap hari agar dapat menghilangkan bakteri pemicu tumbuhnya plak
- Membersihkan sela-sela gigi dengan benang gigi (dental floss) setidaknya sekali sehari sebelum tidur
Perawatan gigi oleh dokter gigi
Berikut adalah prosedur perawatan gigi untuk menangani timbunan plak gigi:
1. Scaling gigi
Scaling gigi bertujuan untuk menghilangkan plak yang sudah menjadi karang gigi. Prosedur non-operasi ini menggunakan scaler, yaitu alat khusus untuk mengikis plak tebal atau karang di gigi. Scaler terdiri dari dua jenis, yaitu scaler manual dan scaler ultrasonik.
Proses pembersihan karang gigi pada dasarnya aman meskipun dapat menimbulkan sedikit rasa tidak nyaman. Guna mengurangi rasa sakit yang mungkin muncul akibat prosedur ini, dokter dapat memberikan obat bius lokal. Lama prosedur ini tergantung pada jumlah dan tingkat keparahan plak atau karang gigi.
2. Dental sealant
Selain scaling gigi, dokter dapat menyarankan penggunaan dental sealant. Dental sealant adalah lapisan pelindung gigi dari bahan resin atau glass ionomer, yang dipasang pada permukaan gigi, terutama gigi geraham.
Dental sealant berfungsi sebagai penghalang agar tidak terbentuk plak pada gigi. Cara kerjanya adalah dengan menutup lekukan dan celah pada permukaan gigi yang sulit dijangkau saat menyikat gigi.
Pemasangan dental sealant dilakukan dengan mengoleskan cairan sealant pada permukaan gigi, lalu dikeraskan menggunakan cahaya khusus. Setelah mengeras, sealant akan membentuk lapisan pelindung yang dapat bertahan beberapa tahun. Proses pemasangan dental sealant tergolong cepat dan tidak menimbulkan rasa sakit.
3. Fluoride treatment
Fluoride treatment bertujuan untuk menekan pertumbuhan bakteri pemicu plak gigi. Dengan begitu, risiko terjadinya gigi berlubang akibat plak gigi dapat diminimalkan.
Prosedur fluoride treatment dilakukan dengan cara mengoleskan fluoride berbentuk gel, foam, atau varnish pada lapisan terluar gigi. Fluoride yang diberikan oleh dokter gigi kadarnya lebih tinggi daripada yang terkandung pada pasta gigi.
Selain prosedur di atas, dokter dapat memberikan penanganan lain, seperti:
- Meresepkan pasta gigi khusus untuk membantu merontokkan plak gigi
- Meresepkan obat kumur antibakteri untuk melawan kuman pemicu timbulnya plak gigi
- Memberikan obat pilocarpine untuk merangsang produksi air liur jika plak gigi disebabkan oleh masalah mulut kering
Komplikasi Plak Gigi
Seperti yang sudah dijelaskan di atas, timbunan plak di gigi bisa mengeras menjadi karang gigi jika tidak dibersihkan dengan cara yang tepat. Tidak hanya itu, plak gigi yang menumpuk dapat menyebabkan kerusakan pada jaringan gigi dan gusi, serta mengakibatkan masalah kesehatan yang serius.
Berikut adalah beberapa komplikasi yang bisa terjadi akibat timbunan plak gigi:
- Gigi berlubang
- Gingivitis
- Periodontitis
- Gigi copot atau tanggal
- Abses gigi
Pencegahan Plak Gigi
Penumpukan plak gigi dapat dicegah dengan melakukan perawatan gigi secara rutin di rumah. Beberapa upaya yang dapat dilakukan adalah:
- Menggosok gigi 2 kali sehari dengan pasta gigi yang mengandung fluoride
- Membersihkan sela-sela gigi dengan benang gigi setidaknya 1 kali sehari
- Membersihkan lidah menggunakan kerokan lidah saat menggosok gigi
- Menggunakan obat kumur, seperti Listerine atau Betadine Mouthwash, untuk membunuh bakteri berlebih di mulut
- Mengonsumsi makanan bergizi seimbang yang lengkap, termasuk buah dan sayuran, serta minum air putih setidaknya sebanyak 8 gelas per hari
- Mengurangi kebiasaan ngemil makanan manis atau bertepung
- Membatasi konsumsi minuman manis atau asam, minuman bersoda, minuman berenergi, dan minuman beralkohol
- Mengganti sikat gigi setiap 3–4 bulan sekali atau ketika sikat gigi sudah terlihat rusak
- Membersihkan kawat gigi atau gigi palsu bagi yang memakainya, serta melakukan kontrol rutin sesuai dengan anjuran dokter
- Mengunyah permen karet rendah gula untuk mencegah mulut kering
- Memeriksakan kesehatan gigi dan mulut ke dokter gigi, setidaknya 2 kali dalam 1 tahun
- Tidak merokok
Selain langkah pencegahan di atas, pastikan untuk mengonsumsi sejumlah makanan dan minuman berikut guna menjaga kesehatan gigi:
- Buah dan sayuran kaya serat, seperti apel, bayam, dan timun
- Makanan tinggi kalsium, seperti susu, keju, ikan laut, dan kacang-kacangan
- Permen karet rendah gula yang mengandung xylitol
- Teh hitam atau teh hijau tanpa gula atau pemanis
- Air mineral yang mengandung fluoride