Periodontitis adalah infeksi gusi yang menyerang jaringan lunak dan tulang penyangga gigi. Kondisi ini perlu segera diobati agar tidak menimbulkan kerusakan permanen pada gigi dan jaringan sekitarnya.
Periodontitis merupakan komplikasi dari radang gusi (gingivitis) yang tidak ditangani. Jika berlangsung lama, kondisi ini dapat merusak jaringan di sekitar gusi dan gigi hingga menyebabkan gigi tanggal. Pada kasus yang parah, periodontitis juga dapat menimbulkan abses atau kumpulan nanah di gigi.

Penyebab Periodontitis
Periodontitis umumnya bermula dari penumpukan plak pada gigi. Plak adalah lapisan lengket yang terbentuk dari sisa makanan dan bakteri yang hidup di dalam mulut. Jika tidak dibersihkan secara rutin, plak akan mengeras menjadi karang gigi (kalkulus), yang menjadi tempat bakteri berkembang biak.
Bakteri pada karang gigi menghasilkan racun yang dapat memicu peradangan pada gusi (gingiva). Jika dibiarkan, radang gusi membuat terbentuknya celah antara gigi dan gusi, sehingga bakteri dapat masuk lebih dalam, merusak jaringan, dan bahkan tulang penyangga gigi.
Lama-kelamaan, kondisi tersebut dapat menyebabkan gigi goyang dan akhirnya tanggal. Pada kasus berat, periodontitis juga dapat menimbulkan abses atau timbunan nanah di sekitar gigi.
Faktor risiko periodontitis
Selain radang gusi yang tidak terobati, ada beberapa faktor yang bisa meningkatkan risiko seseorang terkena periodontitis, yaitu:
- Obesitas
- Faktor genetik
- Kekurangan nutrisi, termasuk vitamin C
- Kurang menjaga membersihkan gigi dan mulut
- Kebiasaan merokok atau mengunyah tembakau
- Konsumsi obat-obatan yang mengurangi produksi air liur
- Perubahan hormon saat menstruasi, masa kehamilan, atau menopause
- Penyakit tertentu, seperti Down syndrome, penyakit Crohn, diabetes, dan rheumatoid arthritis
- Kondisi yang menurunkan sistem imun tubuh, seperti menderita leukemia, HIV/AIDS, atau sedang menjalani kemoterapi
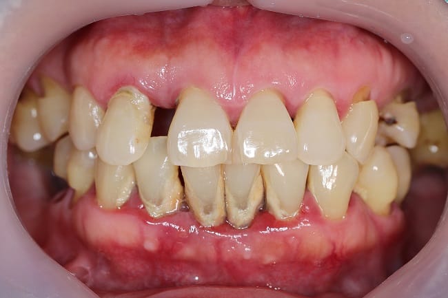
Gejala Periodontitis
Gejala periodontitis bisa beragam dan tergantung pada perkembangan peradangan yang terjadi gusi dan gigi. Namun, ada beberapa gejala atau keluhan yang umum dialami oleh penderita periodontitis, yaitu:
- Nyeri saat mengunyah
- Penumpukan plak dan karang pada gigi
- Jarak antara satu gigi dan gigi lainnya terasa renggang
- Gusi turun atau menyusut sehingga membuat gigi terlihat lebih panjang
- Gusi berwarna kemerahan atau keunguan
- Gusi terasa nyeri jika disentuh
- Gusi bengkak dan mudah berdarah
- Keluarnya nanah dari batas gigi dan gusi
- Gigi goyang atau tanggal
- Gigi sensitif
- Napas berbau tidak sedap
Kapan harus ke dokter
Lakukan pemeriksaan ke dokter gigi jika Anda mengalami gejala-gejala periodontitis seperti yang telah disebutkan sebelumnya, terutama bila memiliki faktor yang dapat meningkatkan risiko terkena periodontitis.
Lakukan pemeriksaan gigi dan mulut secara berkala ke dokter gigi guna mencegah penumpukan plak dan karang gigi. Jika Anda melihat karang gigi sudah terbentuk, segera ke dokter agar karang gigi tersebut dibuang sebelum berkembang menjadi periodontitis.
Kini Anda dapat membuat janji dengan dokter secara lebih praktis. Fitur Buat Janji di aplikasi ALODOKTER memudahkan Anda untuk melihat jadwal praktik, membaca ulasan pasien, dan memesan janji temu hanya dalam beberapa langkah.
Jika Anda membutuhkan saran medis awal sebelum ke fasilitas kesehatan, Anda dapat memanfaatkan layanan Chat Bersama Dokter. Dengan layanan ini, Anda bisa berkonsultasi langsung dengan dokter untuk mengetahui langkah penanganan yang tepat.
Diagnosis Periodontitis
Untuk mendiagnosis periodontitis, dokter akan melakukan tanya jawab terkait keluhan dan riwayat kesehatan pasien. Selanjutnya, dokter akan memeriksa apakah ada perdarahan di sekitar gigi akibat plak, serta mengukur kedalaman celah antara gusi dan gigi.
Kedalaman celah pada mulut yang sehat adalah 1–3 mm. Sedangkan pada periodontitis, kedalaman celah bisa 4 mm atau lebih.
Dokter juga bisa melakukan pemeriksaan foto Rontgen panoramik untuk mengetahui tingkat kerusakan dan pengeroposan tulang akibat periodontitis.
Pengobatan Periodontitis
Pengobatan periodontitis bertujuan untuk mengurangi peradangan, menghilangkan celah yang terbentuk di antara gusi dan gigi, serta mengatasi penyebab peradangan gusi. Metode pengobatannya tergantung tingkat keparahannya.
Pada periodontitis yang belum parah, metode pengobatan yang dilakukan dokter adalah:
- Scaling, untuk menghilangkan karang gigi dan bakteri dari permukaan gigi atau bagian bawah gusi
- Root planing, untuk membersihkan dan mencegah penumpukan bakteri dan karang gigi lebih lanjut, serta untuk menghaluskan permukaan akar
- Pemberian antibiotik oral, obat kumur atau gel, untuk menghilangkan bakteri penyebab infeksi
- Pencabutan gigi yang terdampak, agar penumpukan bakteri tidak bertambah parah dan menyerang gigi di sekitarnya
Untuk periodontitis yang sudah parah, dokter akan melakukan prosedur operasi, seperti:
- Flap surgery, untuk mengurangi endapan karang gigi di kantong atau celah gusi
- Soft tissue grafts atau operasi cangkok jaringan lunak, untuk mengganti jaringan yang rusak akibat periodontitis
- Bone grafting atau operasi cangkok tulang, untuk memperbaiki tulang-tulang di sekitar akar gigi yang telah hancur
- Guided tissue regeneration, untuk merangsang pertumbuhan tulang baru guna mengganti tulang yang hancur akibat infeksi
- Tissue-stimulating proteins, untuk merangsang pertumbuhan jaringan dan tulang baru
Komplikasi Periodontitis
Jika dibiarkan tanpa pengobatan, periodontitis dapat menyebabkan sejumlah komplikasi berikut ini:
- Pergeseran gigi
- Gigi goyang atau tanggal
- Infeksi pada tulang rahang
- Kumpulan nanah disertai nyeri di gigi (abses gigi)
- Infeksi atau abses pada jaringan lunak di mulut, salah satunya berupa aktinomikosis
- Peningkatan risiko terjadinya penyakit jantung, gangguan pernapasan, dan diabetes
Sementara pada ibu hamil, periodontitis dapat meningkatkan risiko terjadinya komplikasi kehamilan, seperti berat lahir bayi rendah dan preeklamsia.
Pencegahan Periodontitis
Beberapa upaya pencegahan yang dapat dilakukan untuk mengurangi risiko terjadinya periodontitis yaitu:
- Sikat gigi secara rutin, minimal dua kali sehari, yaitu setiap pagi dan menjelang tidur.
- Bersihkan sela-sela gigi menggunakan benang gigi (dental floss).
- Hindari kebiasaan merokok dan menggunakan vape.
- Hindari aktivitas yang dapat memicu stres.
- Terapkan pola makan yang sehat dan seimbang.
- Lakukan kontrol dan berobat rutin jika menderita diabetes.
- Jaga berat badan ideal atau turunkan berat badan bila menderita obesitas.
Selain itu, lakukan pemeriksaan gigi secara rutin ke dokter gigi tiap 6–12 bulan sekali. Namun, jika Anda termasuk kelompok orang yang lebih berisiko terserang periodontitis, seperti merokok atau sedang mengonsumsi obat yang menyebabkan mulut kering, pemeriksaan perlu dilakukan lebih rutin.