Atelektasis adalah kondisi ketika kantong-kantong udara kecil di dalam paru-paru (alveolus) kempis dan tidak terisi oleh udara. Atelektasis merupakan salah satu penyebab paru-paru kolaps dan tidak bisa mengembang.
Alveolus merupakan tempat terjadinya pertukaran oksigen dan karbon dioksida di dalam paru-paru. Agar pertukaran tersebut dapat berjalan dengan baik, alveolus harus berisi udara. Namun, pada atelektasis, alveolus justru tidak terisi oleh udara. Akibatnya, tidak terjadi pertukaran oksigen dan karbon dioksida.

Atelektasis perlu ditangani dengan cepat, karena dapat menyebabkan kurangnya pasokan oksigen ke organ tubuh. Jika dibiarkan tanpa penanganan, atelektasis dapat berkembang menjadi penyakit yang mengancam nyawa penderitanya.
Penyebab Atelektasis
Atelektasis sering kali disebabkan oleh adanya sumbatan, bisa berupa tumor, benda asing, atau lendir, di saluran pernapasan. Penyumbatan (obstruksi) tersebut dapat terjadi di pipa saluran pernapasan, yaitu trakea, bronkus, dan bronkiolus.
Selain akibat tersumbatnya saluran pernapasan, atelektasis juga dapat disebabkan oleh berbagai kondisi berikut:
- Cedera di dada yang menimbulkan nyeri hebat saat bernapas
- Jaringan parut di paru-paru, baik akibat cedera, komplikasi penyakit paru, maupun efek samping operasi paru
- Infeksi paru, seperti tuberkulosis atau pneumonia
- Efusi pleura, yaitu penumpukan cairan di lapisan pleura
- Tumor dada, termasuk tumor mediastinum, yang menekan paru-paru dan menghambat saluran pernapasan
- Pneumothorax, yaitu terkumpulnya udara di rongga pleura
Atelektasis juga dapat terjadi akibat kurangnya surfaktan di dinding alveolus. Surfaktan merupakan zat yang berfungsi untuk menjaga alveolus tetap stabil dan mengembang. Kurangnya surfaktan akan menyebabkan alveolus mengempis dan tidak bisa mengembang kembali. Kondisi ini umum pada bayi yang lahir prematur.
Selain beberapa penyebab di atas, ada beberapa faktor yang dapat meningkatkan risiko seseorang mengalami atelektasis, antara lain:
- Berusia lanjut
- Baru menjalani operasi di bagian dada atau perut
- Baru menjalani operasi dengan menggunakan bius total
- Mengonsumsi obat tertentu yang memengaruhi sistem pernapasan
- Memiliki kebiasaan merokok
- Menderita gangguan tidur berupa sleep apnea
- Menderita penyakit saluran pernapasan, seperti penyakit paru obstruktif kronis, asma, bronkiektasis, atau cystic fibrosis
- Mengalami cedera yang menyebabkan rasa nyeri dan kesulitan menarik napas dalam, termasuk patah tulang rusuk
- Menderita obesitas
- Sedang hamil
Gejala Atelektasis
Pada awalnya, atelektasis tidak menimbulkan gejala apa pun. Atelektasis baru akan memunculkan gejala jika bagian paru-paru yang rusak sudah cukup luas dan tubuh mulai mengalami kekurangan oksigen. Gejala atelektasis yang akan timbul adalah:
- Batuk dan mengi
- Kesulitan bernapas
- Napas cepat dan dangkal
- Nyeri dada kanan ataupun kiri, tergantung bagian paru yang terkena
- Kebiruan pada kulit, bibir, dan ujung jari (sianosis)
- Denyut jantung meningkat (takikardia)
Atelektasis yang terus berlangsung lama-kelamaan akan menyebabkan penurunan kadar oksigen dalam tubuh (hipoksia) serta tekanan darah turun drastis. Jika bagian paru yang rusak makin luas, atelektasis juga bisa memicu terjadinya syok.
Kapan harus ke dokter
Segera ke IGD jika mengalami gejala seperti di atas. Penanganan sejak dini akan mencegah terjadinya komplikasi dan kerusakan paru-paru yang lebih parah.
Jika Anda menderita kondisi yang bisa meningkatkan risiko terjadinya atelektasis, seperti baru menjalani operasi dengan bius umum, serta menderita asma, cystic fibrosis, atau patah tulang rusuk, lakukan pemeriksaan ke dokter dan kontrol sesuai jadwal yang diberikan oleh dokter.
Diagnosis Atelektasis
Dokter akan menanyakan gejala yang dirasakan dan riwayat kesehatan pasien, termasuk riwayat operasi dada. Setelah itu, dokter akan melakukan pemeriksaan thorax atau dada dengan menggunakan stetoskop.
Untuk memastikan diagnosis, dokter akan melakukan pemeriksaan penunjang berikut:
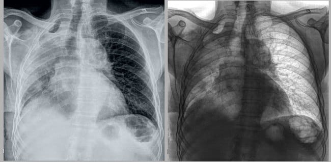
- Pemindaian dengan Rontgen atau CT scan dada, untuk mengetahui kondisi paru-paru
- Bronkoskopi, untuk melihat kondisi paru-paru, mengambil sampel jaringan, atau mengatasi sumbatan di saluran napas
- Pemeriksaan jaringan (biopsi), untuk mendeteksi ketidaknormalan di jaringan paru, termasuk untuk mendeteksi tumor, kanker, atau infeksi
- Pemeriksaan dengan oksimeter, untuk mengukur kadar oksigen dalam darah
Pengobatan Atelektasis
Atelektasis ringan dapat sembuh dengan sendirinya tanpa pengobatan. Namun, jika atelektasis disebabkan oleh kondisi tertentu, maka dokter akan melakukan tindakan untuk mengatasi penyebabnya.
Metode pengobatan untuk menangani atelektasis antara lain:
Fisioterapi dada
Pada atelektasis yang disebabkan oleh komplikasi setelah operasi, dokter akan menganjurkan fisioterapi kepada pasien untuk membantu paru-paru mengembang dan mengempis secara normal. Terapi yang diberikan meliputi:
- Mengajarkan pasien teknik batuk yang benar, untuk membantu mengeluarkan lendir dari dalam saluran pernapasan
- Mengajarkan pasien teknik menarik napas dalam, dengan bantuan alat spirometri insentif
- Melakukan terapi ketukan atau perkusi pada dinding dada, baik dengan tangan maupun dengan air-pulse vibrator
- Memosisikan kepala lebih rendah dari tubuh untuk membantu mengeluarkan lendir
Operasi
Jika atelektasis disebabkan oleh sumbatan lendir di saluran napas, dokter akan menyedot lendir menggunakan selang khusus. Hal ini dapat dilakukan dengan bronkoskopi.
Bronkoskopi juga dapat digunakan untuk mengangkat benda asing yang tersangkut di saluran pernapasan.
Jika atelektasis disebabkan oleh tumor atau kanker, dokter akan melakukan operasi pengangkatan jaringan. Operasi ini bisa dikombinasikan dengan kemoterapi dan radioterapi.
Obat-obatan
Untuk membantu pengobatan dan penyembuhan atelektasis, dokter dapat memberikan obat-obatan berikut:
-
Bronkodilator
Obat ini berfungsi untuk melebarkan bronkus dan mendorong pengeluaran lendir yang terjebak di saluran pernapasan. Contoh obat bronkodilator yang bisa digunakan adalah salmeterol atau teofilin. -
Antibiotik
Antibiotik bisa diberikan untuk mengatasi atelektasis yang disebabkan oleh infeksi bakteri. Antibiotik yang dapat diberikan umumnya memiliki spektrum luas, seperti cefuroxime dan cefaclor. -
Mukolitik
Obat golongan mukolitik berfungsi untuk mengencerkan lendir di saluran pernapasan sehingga lebih mudah untuk dikeluarkan. Contoh obat mukolitik yang dapat diberikan adalah N-acetylcysteine, guaifenesin, dan dornase alfa.
Komplikasi Atelektasis
Atelektasis yang tidak mendapat penanganan dapat menyebabkan munculnya komplikasi berupa:
- Hipoksemia, yaitu kondisi rendahnya kadar oksigen di dalam darah
- Pneumonia atau paru-paru basah, yaitu peradangan yang disebabkan oleh infeksi di paru-paru
- Bronkiektasis, yaitu penyakit paru-paru yang disebabkan oleh kerusakan, penebalan, dan pelebaran saluran bronkus secara permanen
- Gagal napas, yaitu kondisi saat sistem pernapasan tidak mampu menyalurkan oksigen dan membuang karbon dioksida
Pencegahan Atelektasis
Atelektasis bisa dicegah dengan menghindari faktor yang dapat meningkatkan risikonya. Upaya yang bisa dilakukan antara lain:
- Berhenti merokok
- Memerhatikan keamanan area bermain anak, termasuk menjauhkan benda-benda yang berisiko masuk ke saluran napas anak
- Berkonsultasi secara rutin ke dokter jika menderita penyakit atau kondisi yang dapat meningkatkan risiko terjadinya atelektasis
- Menjalani fisioterapi setelah operasi di bagian dada atau operasi dengan bius umum, sesuai saran dokter